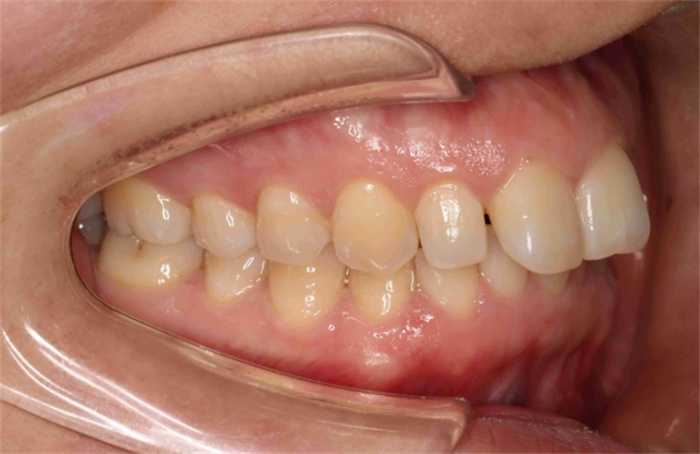
人有多少颗牙齿才算正常 人的牙齿为什么不能再生(32颗)
人有32颗牙齿才算正常,一般都是28颗到32颗,人的牙齿不能再生,是因为人的基因决定只有一套牙齿,而且牙齿硬组织没有成纤维细胞和生长因子,人刚生下来的时候,正常的乳牙是20颗,正常的恒牙是28颗,再加上四颗智齿就是32颗,乳牙是人的第一副牙齿,总共20颗,从出生以后的六个月开始萌出到两岁半的时候基本长齐左右,各骨科上下各十颗,在六岁的时候开始长第一恒磨牙,也就称之为60齿,再加上4颗60齿,总共是24颗。

恒牙是人的第二副牙齿,总共有28颗,从六岁开始乳牙就渐渐脱落,恒牙开始萌出取代乳牙,除了第三磨牙之外,其余的28颗一般在12岁左右就会全部长出来。第三磨牙被称之为智齿长出来的时间是比较晚的,一般在18岁到30岁左右的时候,也有可能终身都长不出来,或者说部分长出来,智齿总共有4颗。,不过也有一些人天生牙齿就有缺失,或者说长很多牙齿的情况,这个也没有办法预料得到,毕竟大千世界无奇不有。

每一个牙齿都有牙冠,牙根和牙颈三个部分,牙冠是露出于牙龈之外的部分,洁白有光泽,而牙根是在牙槽之内,牙根肩部有一个小孔,被称之为牙根尖孔,预约牙冠枪相连,里面有血管和神经,根据牙齿的形态和功能不同,可以分成为切牙犬牙,前磨牙和磨牙,乳牙分为乳切牙,乳尖牙和乳膜牙。牙齿脱落的原因是因为有可能受到了碰伤或者说咬合创伤,咬一些硬的东西,也有可能是烂牙坏死以后,牙体组织缺乏血液和供应,就容易变得非常的脆弱。

大家都在看
-
为何天上有颗“深圳星”?深圳科技馆馆长跟你聊宇宙探索、讲科学故事 开栏语星河浩瀚,藏着无尽奥秘。今起,本报推出“馆长唠科”专栏,由深圳科学技术馆馆长郑永春先生执笔,以天地为视野,聊宇宙探索,讲科学故事。首期,我们一同走近“深圳星”,看看这颗镌刻着鹏城名字的星星藏着哪 ... 宇宙探索03-24
-
从量子科技到元宇宙的崭新探索:中国科技为何引起全球瞩目? 合肥的实验室中,当光量子芯片在-271℃的超低温环境下闪烁着神秘的幽蓝光芒,显示着我国在前沿科技领域的前沿探索;在深圳,柔性屏幕薄如蝉翼,如同丝绸般可卷曲,展现了我国在新材料领域的创新实力;而在上海的生物 ... 宇宙探索03-23
-
显微镜下的奇妙世界:探索微观宇宙的无限奥秘 在我们的日常生活中,眼睛所能看到的世界仅仅是浩瀚宇宙的冰山一角。无数精妙的细节与宏大的结构,往往隐藏在肉眼无法触及的微观尺度之下,静默地运转着。而显微镜的发明,宛如一把神奇的钥匙,为我们打开了一扇通往 ... 宇宙探索03-23
-
《宇宙探索编辑部》追了半生宇宙,才懂平凡人间,才是终极答案 作为看遍各类科幻与现实题材的影评人,很少有一部电影能像《宇宙探索编辑部》这样,没有炫酷特效,没有惊天反转,却用最笨拙、最赤诚的理想主义,戳中无数人心里最软的地方。我们都曾像主角唐志军一样,抱着一份不被 ... 宇宙探索03-22
-
一个国家插入另一个国家? 一个国家插入另一个国家腹地会有什么影响?就像位于西非的冈比亚和塞内加尔。冈比亚占据冈比亚河下游两岸的狭长地带,犹如一把匕首插入塞内加尔中。冈比亚河是西非唯一通航海船的河流,由于冈比亚控制了主航道,内陆 ... 宇宙探索03-22
-
探索微观宇宙,见证科技奇迹!🔍🔬✨ 在这个由精密齿轮构成的微观宇宙里,每个细节都决定着系统的命运。一个微小的错位就能让整个系统陷入停滞,这就是系统的脆弱性,对细节的敏感度超乎想象。而点滴的校准是引导能量流向的关键。当细节被精准把控,能量 ... 宇宙探索03-22
-
第十九章:万灵共振,探索宇宙的奥秘,见证生命的奇迹!🚀✨ 唤醒生机之种的过程成了全银河生灵的共同使命。联盟向所有星球发出号召,用最纯粹的希望与勇气向枯寂星传递意念这两种情感。在法则层面恰是光的存续与暗的革新最鲜活的体现。·一、时间新银河的每一颗星球上,无论是 ... 宇宙探索03-21
-
探索宇宙的奥秘,揭开宇宙的神秘面纱!🔍🔬 宇宙究竟是平坦的还是弯曲的?这个问题让无数科学家和天文迷争论不休,真相究竟是什么?宇宙是否平坦一直是天文学界的一个热门话题。根据广义相对论,如果宇宙是平坦的,那么光线在宇宙中就能直线传播,不会发生弯曲 ... 宇宙探索03-19
-
太空探索:人类如何一步步走出地球,开启宇宙之旅 说起太空探索,很多人脑海里浮现的可能是宇航员穿着厚厚的宇航服,驾驶飞船飞向月球或者火星的画面。但其实,太空探索的故事远比这些画面更精彩、更复杂,也更充满了人类的智慧和勇气。今天咱们就来聊聊,这场人类走 ... 宇宙探索03-18
-
探索宇宙的奥秘,从大爆炸到黑洞,带你走进神秘的星空世界! 先说大爆炸吧。想象一下,138亿年前,整个宇宙其实是一个极其炽热、密度超高的“火球”,比太阳还要热千万倍,空间几乎没有。突然,这个“火球”开始疯狂膨胀,速度快得难以想象,这就是大爆炸。别误会,这不是普通 ... 宇宙探索03-18
相关文章
- 探索宇宙的奥秘,从大爆炸到黑洞,带你走进神秘的星空世界!
- 探索宇宙奥秘:地球的起源与生成之旅🌍✨
- 探索未知宇宙苍穹
- 北京天文馆“宇宙探索营”开启\中国人民抗日战争纪念馆卢沟桥抗战半景画全新升级……本周最新博物馆资讯点击——
- 从《宇宙探索编辑部》到《坠落的审判》,他用60余张海报设计解码光影背后的“无序公式”
- 科学家追踪引力波,结果发现更离谱的宇宙事件
- 以光速的20%飞行:科学家展示“实用”光帆探索宇宙
- 看不见的宇宙:暗物质与暗能量的证据、理论与探索
- 美国太空部队:要有攻击中国卫星能力,探索部署攻击性轨道航天器
- “大航天时代”会加速人类探索宇宙的进程吗
- 三种“超光速”现象,告诉你宇宙远比想象疯狂
- 微积分:探索宇宙无限奥秘的钥匙
- 探索月相奥秘,揭示宇宙的奇妙!🌙✨
- 宇宙或许不是无限的,它的总质量已经被推算出来
- 探索宇宙的奇迹,太空站俯瞰地球!🌍✨
- 宇宙探索:人类的火星梦想与深空探测
- 从水火土到夸克 2500年物质探索 重塑宇宙认知
- 暗物质捕手+天文AI,中国科学家把宇宙探索“卷”出新高度
- 航天科技究竟是什么?它为什么能让我们仰望星空,探索宇宙奥秘?
- 未来宇宙探索:与外星文明首次接触,是友是敌?
热门阅读
-
预言2030年太阳将休眠,恐怖的千年极寒将来临 07-11
-
中国十大元帅之死,多高寿而善终(林彪叛逃而死) 07-11
-
因果报应真实事例,做尽坏事必遭天谴 07-11
-
这6个神奇天体有很酷的名字 06-01
-
全球人口减少可能带来的六大教训和好处 07-18
-
离太阳最近的十大恒星排名,宇宙最大十大星球 04-12
精选文章
- 创生之柱是什么?(创生之柱给予了许多恒星生命)
- 中国51区秘密基地,窃密必被抓(抓住就杀头)
- 中国“天宫”空间站将在2022年前后建成 呈T字型有三个舱段最多可驻留6人 ...
- 新冠病患康复后,可能“精子减少或无精”
- 中国古代四大凶兽,四大神兽vs四大凶兽谁更强
- 2025年宇宙探索大爆发!月全食、火星冲日等,这些天文奇观别错过
- 黑龙江50万年死火山苏醒, 内含15%电量的巨大岩浆囊
- 误会一辈子!破伤风其实是一种细菌跟生锈铁完全没关系
- 美国同步空间态势感知项目(GSSAP)军事间谍卫星多次秘密靠近俄罗斯和中国的航天器 ...
- 中国长征五号B遥一运载火箭全貌曝光 本月底在海南文昌航天发射场进行首次发射 ...
