全球首例!世界最小介入式人工心脏迈向临床
今天(9月14日),从江苏医疗器械产业园传来好消息,全球最小介入式人工心脏迈向临床。这颗全球最小的介入式人工心脏来自苏州企业心擎医疗。
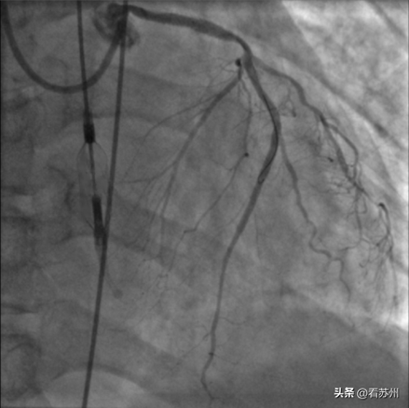
复旦大学附属中山医院葛均波院士团队成功在新一代介入泵(心擎医疗)支持下为一名男性患者完成高风险经皮冠脉手术(HRPCI)。
本次高危PCI手术的顺利开展,初步证实了心擎医疗的新一代介入泵在辅助高危PCI手术中的安全性和有效性,代表世界最小介入式人工心脏正式迈向临床,具有重要意义。

患者为一名48岁的男性,手术前诊断为冠状动脉粥样硬化性心脏病、心力衰竭、冠脉支架植入后、II型糖尿病。
患者既往冠脉三支病变、左主干病变伴前降支慢性完全闭塞病变,术前评估左心室射血功能差,病程复杂,手术风险高。

心擎医疗产品
“经过评估,我们认为患者在手术过程中,可能会发生血流动力学障碍,需在机械循环辅助下进行手术,经家属同意后决定使用新一代介入泵循环支持下开展PCI手术。”葛均波院士接受记者采访时说。
“我们的产品只有9Fr的介入尺寸,是目前世界上最小的介入尺寸。在介入的时候可以折叠,极大程度缩小了介入尺寸。这样的尺寸可以极大降低创伤性,减少各种血管并发症,包括复杂性病变硬化等问题。”心擎医疗市场与临床部马经理告诉记者,“折叠叶轮的优势之一,是可以提供均值3.5 L/min以上的流量。同时,我们还做了有限元的结构力学分析,可以对运行强度做优化。”

“术后介入泵顺利回撤至鞘内撤出,仅使用单把血管缝合器就完成了股动脉穿刺处止血,患者6小时后即下床活动,无血管并发症。”葛均波说,“手术是成功的。”

目前,患者的术后恢复情况良好,血常规、肝肾功能等指标均未见明显异常,术后动脉血压维持在130/80 mmHg,术后心超显示左室射血分数改善至36%,未见主动脉瓣及二尖瓣损伤,已经顺利出院。

数据显示,目前心血管疾病人群已经达到了3.3亿人,是中国第一大致死病因,每年需要冠脉介入治疗(PCI)的患者人数超过100万。其中高危PCI手术占比约10%,年手术量约为11万例。
这类手术风险大、患者死亡率高,临床上始终缺乏安全有效的术中保护手段。
微创介入式人工心脏,能通过外周血管介入手术,在患者主动脉内置入一微型化血泵,从而在患者心脏泵功能衰竭时提供快速、无损伤的循环辅助。
“对于高危冠脉介入手术的术中心脏保护,以及急性心梗引发的心源性休克患者来说,无疑是死神面前的强大防线。”葛均波说。

心擎医疗的新一代介入泵采用了可折叠叶轮、电机外置等多项核心创新,成功突破多项“卡脖子”技术,实现了“弯道超车”,不久前还刚被美国FDA授予“突破性设备”的认定。
随着该款新一代介入泵临床试验的有序开展,将填补国内临床空白,引领国内创新走向全球,造福更多的患者。
大家都在看
-
刷新纪录!“世界最小的非鸟类恐龙蛋”落户江西 近日,由江西省地质调查勘查院、江西省地质博物馆、中国地质大学(武汉)等单位研究的“赣州迷你蛋”(Minioolithus ganzhouensis)获得吉尼斯世界纪录认证,被确认为“世界最小的非鸟类恐龙蛋”。这一纪录于2026年3 ... 世界最小04-18
-
世界最小航母下水!排水量仅7000吨,但却值得美军学习 文|张明 近日,欧洲国家葡萄牙在邻国造船厂下水了一艘名为“若昂二世国王号”的特殊航空母舰,这艘被称作“21 世纪全球最小航母”的战舰,满载排水量仅7000吨,甚至不及主流海军国家一艘标准万吨大驱的体量,但是其 ... 世界最小04-11
-
“世界最小航母”纪录刷新!7600吨迷你航母,开启无人海战新时代 小清发现,说起航母,大家脑海里要么是美国福特级那样的十万吨海上巨兽,要么是咱们福建舰、山东舰这样的国之重器。可最近,一艘满载仅 7600 吨、比 054A 护卫舰还短的小船,却刷新了世界最小航母的纪录。它就是葡萄 ... 世界最小04-10
-
全球最小跳鼠!体重仅10克,靠尾巴“存粮”过冬,长相酷似小猪 它是戈壁荒漠里的迷你精灵,也是全世界最小的跳鼠——三趾心颅跳鼠。体长仅5厘米,体重约10克,比鸡蛋还轻。它长相呆萌,嘴周一圈白毛像小猪鼻子,后爪只有三趾,长尾巴末端有笔刷状毛束。为了熬过寒冬,它会疯狂进 ... 世界最小04-06
-
科学家创造出世界最小二维码,科技新奇!🔍💡 科学家造出世界最小二维码。你敢信吗?世界上最小的二维码小到肉眼完全看不见,比细菌还要微小。平时扫码付款加好友,二维码都是方方正正一大块。但科学家造出的这个"迷你版"面积只有1.98平方微米,得用电子 ... 世界最小04-06
-
比细菌还小!全球最小二维码诞生,数据能存上千年 迄今最小的二维码诞生了,不仅比大多数细菌还小,并且刷新了吉尼斯世界纪录。近日,奥地利维也纳工业大学(Technische Universität Wien)团队与数据存储公司 Cerabyte 合作,为解决存储媒介寿命短的难题提供了一种 ... 世界最小04-04
-
世界最小鸟类:体长仅5厘米,鸟蛋跟绿豆一样大 你知道吗?在我们生活的地球上,居然有一种鸟,体重不如一枚1元硬币,体型比蜜蜂大不了多少,停在手指上几乎感觉不到重量,扇动翅膀快到肉眼看不清,它就是全世界最小的鸟——蜂鸟!很多人只在纪录片里见过它,甚至 ... 世界最小03-22
-
一口气带你认识世界上最小的东西! 一口气带你认识世界上最小的东西,看完颠覆你对世界的认知。你有没有想过世界上最小的东西到底有多小?小到肉眼看不见,小到显微镜都要放大无数倍,小到颠覆所有人的常识。今天就从大到小一路往下看,越往后越震撼。 ... 世界最小03-21
-
全球第一!武大团队造出世界最小芯片原子钟,3万年误差1秒 近日,一条让全国科技迷沸腾的重磅消息从武汉传来,武汉大学陈杰华教授团队正式宣布,成功研制出目前全世界体积最小的芯片原子钟,这枚只有指甲盖大小、体积仅2.3立方厘米的微型器件,一举打破国外长期垄断,把中国 ... 世界最小03-21
-
武大团队造出世界最小芯片原子钟:仅拇指盖大小,3万多年误差1秒 IT之家 3 月 19 日消息,据长江日报今日报道,武汉大学团队成功设计制造出世界体积最小的芯片原子钟,仅拇指盖大小。这款体积全世界最小的芯片原子钟,计时精度可达 10⁻¹¹ 至 10⁻¹² 量级,相当于 3 万多年误差 ... 世界最小03-20
相关文章
- 武大团队造出世界最小芯片原子钟:仅拇指盖大小,3万多年误差1秒
- 3万多年误差仅1秒:武汉大学团队造出世界最小芯片原子钟,仅指甲盖大小
- 中国开发出世界最小芯片原子钟,“可能改变游戏规则”
- 揭秘世界上最小的鸟!它竟然只有这么大?
- 比细菌还小:科学家创造出世界上最小的二维码,重塑人类存储方式
- 全球最小迷你导弹,比两瓶啤酒还轻,外军试完一发当场买单
- 世界上最小国家,全国只有32个人,买个菜都要出国?
- 世界最小二维码问世:仅1.98平方微米,数据可存千年
- 世界最小墨水屏手机! 2.8 英寸的 E-ink屏!47克、你没见过!
- 世界最小航母纪录刷新!比054A还短,配备滑跃起飞甲板
- 你知道世界上最小的鸟是什么鸟?
- 全球最小发达国家,中国移民占87%,如今却是夸大其词?
- 世界最小机器人来了!比沙粒还小,能感知、会移动、自己“吃光”
- 美国一男子声称有世界最小阴茎,尺寸不到2.5厘米,属于罕见病
- 比盐粒还小,科学家研发出世界上最小的自主机器人
- 美国一男子自称有全球最小阴茎,长度不到2.5厘米,属于罕见病
- 美国一男子自称有全球最小阴茎,长度不到2.5厘米
- 世界上最小的鸟,竟然比一只鸡还要娇小
- 全球最小全自主编程机器人小如盐粒,可连续运行数月,成本仅1美分
- 探秘全球最小国家!全国只有800人!随便一走就出国了 #梵蒂冈
热门阅读
-
世界上最小比基尼 几根绳都遮不住也叫比基尼? 07-14
-
地球上最小的生物,盘点世界上最小的动物 07-14
-
全世界最薄的手机,厚度仅为4,75毫米,重量极轻 07-14
-
世界上最小比基尼,几根绳子也能叫比基尼 07-14
-
世界上最小迷你内裤,这尺寸让人脸红。 07-14
-
日本年龄最小的女优,最小只有11岁(却很丰满) 07-29
-
了解一下,世界上13种最小的动物 05-07
