世界之最网,最新世界之最排行榜,世界纪录大全!

关于阿兹海默症的文章

  • 新技术:核磁共振扫描即可确诊阿兹海默症

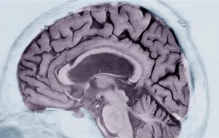
    新技术:核磁共振扫描即可确诊阿兹海默症

    科学家发明了一套机器学习系统,用这套系统只需分析问诊者的一次脑部核磁共振(MRI)扫描的数据,即可判断其是否患有阿兹海默症。研究者称准确率高达98%。 阿兹海默症(Alzheimers)是失智症中最常见的一种,发病者多为6 ...

    2023-6-4 20:05

    全文阅读