运动下就好了!杭州女子忍着剧痛每天勤锻炼,结果出乎意料……
转自:FM93交通之声
记者:黄思颖通讯员:李煦
肩关节是人体最灵活的关节之一,但灵活往往代表着脆弱。
在日常生活中,肩膀酸痛什么再正常不过了。轻微的酸痛忍忍就过去了,严重的,大家一般都划为“肩周炎”,很多人觉得多锻炼就好了。但今年69岁的吴阿姨(化名)却因为太勤于锻炼,把自己送进了医院。
肩膀痛以为是肩周炎
拖了四个月后疼到失眠
吴阿姨今年69岁,退休后,她就成了女儿家的最佳辅助,家务样样一手落。
吴阿姨自称是主妇界的劳模:“我有洁癖的,每天要把家里搞得一层不染。”地板要趴在地上手擦,贴身衣服全部手洗,家里的窗户每周都要擦一遍……4个月前,爱劳动的吴阿姨渐渐感到有些力不从心了,总觉得右肩膀痛。家庭主妇,偶尔肩膀酸痛再正常不过,她贴着止痛膏继续干,一样没落下。
就这样,肩膀疼痛一直没有缓解。吴阿姨认为得了肩周炎,听说肩周炎必须要靠运动活动开来,要做“爬墙”动作,她就每天忍着剧痛练习爬墙、甩手……疼到受不了了,去按摩店做按摩,拔火罐。
坚持了四个月后,很能忍痛的吴阿姨再也忍不住了,经常会在半夜痛醒,右手一点力气都没有了,根本抬不高。以为自己要中风了,她才走进了杭州市第一人民医院骨科诊室。
盲目锻炼 这里被严重撕裂
在骨科门诊,接诊的骨科医师田飞发现,吴阿姨的右手几乎抬不起来,也停不住。考虑到她的年龄、症状加重的情况,他考虑并非是“肩周炎”这么简单,于是安排做了肩关节的磁共振检查。
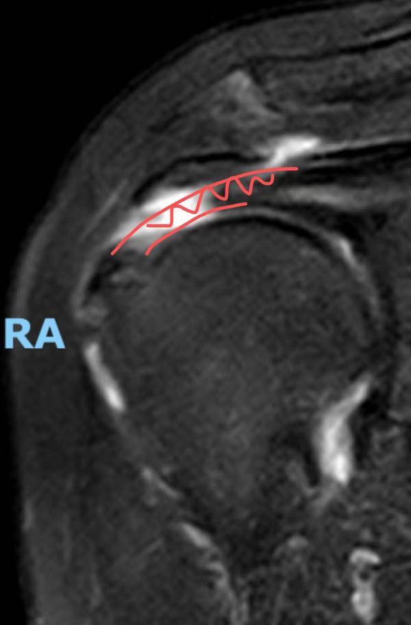
在磁共振的火眼金睛之下,所谓的“肩周炎”原形毕露——吴阿姨患上的根本不是肩周炎,而是严重的肩袖撕裂。

(白色区域显示肌腱断裂)
简单来说,吴阿姨肩膀的疼痛是因为肩关节里面的肌腱断了,而之后的用力锻炼使得肌腱断裂更加严重。田飞通过一台微创肩关节手术为吴阿姨缝上了撕裂的肩袖:使用特制的锚钉和超强缝线,将断裂的肌腱拉回原位缝合并加固。手术顺利。
之后,经过术后逐步的康复锻炼,吴阿姨肩关节疼痛很快缓解,并且逐渐恢复了肩关节的活动能力。
大量肩膀痛被误当肩周炎
田飞说,门诊中,像吴阿姨这样把肩关节痛误当做“肩周炎”的病患并非少数。他们往往自行进行错误锻炼,使得病情加重,最后不得不需要手术治疗。“吴阿姨还是比较幸运的,不少人甚至还会影响手术效果,终身影响活动能力。”
“事实上,真正的肩周炎发病率并不高,只占肩关节痛的10%-15%。”田飞说,其实那些所谓的“肩周炎”患者中,超过三成以上的病患都是肩袖损伤。由于肩袖损伤的主要表现也是肩关节疼痛,所以很容易被误诊为肩周炎。

但要注意的是,和肩周炎不同,肩袖损伤和肩周炎的某些功能锻炼是相反的:肩袖损伤最重要的早期治疗原则就是固定和制动,如果按照肩周炎那样去甩手臂,爬墙等,反而会造成肩袖严重撕裂,最终不得不进行手术修补治疗。
如何区分肩袖损伤和肩周炎?
田飞说:“肩袖损伤是逐渐发展的过程,如果吴阿姨在肩膀刚出现疼痛时就及时就医,通过早期限制活动,保守治疗和正确的功能锻炼可以逐渐恢复,但她在出现肩袖损伤后,偏偏进行了不适当的锻炼,导致肩袖严重撕裂,只能通过手术康复。”
于如何具体分别肩袖损伤和肩周炎,医生提醒可从“细节”判断:
田飞表示,肩周炎引起的疼痛,白天夜晚区分不大,而肩袖损伤的肩关节疼痛夜晚比白天剧烈,往往会被疼醒。而且肩袖损伤由于肌腱撕裂,会导致肌力下降,出现疼痛剧烈,上举困难等症状。
肩周炎没有明确诱因,通常半年到一年的时间里疼痛会逐步缓解自愈。肩周炎要通过爬墙、甩手等方式改善;而肩袖损伤要通过制动(限制活动)等方式恢复。
田飞提醒:目前对于肩袖撕裂的最佳治疗方法就是在全关节镜下微创手术来缝合肩袖。
对于50岁以上,没有外伤出现肩关节疼痛的人们,可进行休息、减少抬胳膊等活动,使用一些抗炎镇痛的口服或者外用药物、理疗。如果超过2-3个月症状没有明显缓解,或者进行“锻炼”后疼痛加重的,建议尽早进行磁共振的检查,排除肩袖损伤,进行合理的治疗。
大家都在看
-
人类8大快感排行榜:第一名你肯定想不到! 咱们普通人活这一辈子,图个啥?说白了,不就是图个心里舒坦、身体爽快吗?但是,你有没有想过,让你感到“爽”的那些事儿,到底哪个才是真正的“爽王”?最近,网上疯传一份“人类8大快感排行榜”。说实话,刚开始 ... 人类之最01-27
-
人类八大快感科学排名!刻在DNA里的快乐,你中招了几个 人类对快感的追求,藏在生活的每一个瞬间,一顿美食、一次拥抱、一场自我突破,都能让大脑分泌快乐激素,带来直击心底的愉悦。这份人类八大快感科学排名,结合心理学研究与日常体验,从即时感官满足到深层心理愉悦, ... 人类之最01-25
-
在人类的生命长河中,能够见证百年人生的少之又少,然而… 在人类的生命长河中,能够见证百年人生的少之又少。而当一位106岁的老人,与刚出生的重孙首次相见,这不仅是家庭的喜事,更是一段跨越世纪的温情传奇。这一幕,温暖了无数人的心,也让我们重新思考家庭的纽带与时间 ... 人类之最01-25
-
河南三门峡,到底骗了多少人?居然拥有6个“世界之最”! 想象一下,冬日的三门峡,仿佛一幅缓慢流动的画卷,不用快节奏奔波,只需慢慢欣赏。这里的冬天,不是令人拘谨的寒冷,而是有一种温柔的“撒娇”,让人心甘情愿沉醉其中。近年来,三门峡的冬季旅游逐渐成为全国闻名的 ... 人类之最01-25
-
最重要发明!人类被它“格式化”思维前,如何思考世界! 想象一下,没有文字的世界:法律只能口耳相传,历史只存在老人的记忆里,爱情诗无法留存给远方情人——这就是我们祖先的真实生活。直到5300年前,在美索不达米亚平原的一个仓库里,人类文明突然“按下快进键”。楔形 ... 人类之最01-25
-
越王勾践:中国历史最狠的他用22年完成人类史上最悲壮的逆风翻盘 朋友们你想到什么?是教科书里一句轻飘飘的成语?是影视剧中主角咬牙切齿、睡柴草啃苦胆的定格画面?还是朋友圈里那句“我正在卧薪尝胆,静待爆发”?今天,我们不讲鸡汤,不谈励志,只用一手史料+考古实证+心理推演 ... 人类之最01-24
-
【历史上的今天】1556.1.23 华州大地震:人类史上最惨痛的震灾 1556 年 1 月 23 日(明嘉靖三十四年十二月十二日),中国陕西华州(今华县)发生震级 8.0 至 8.3 级的特大地震,史称 “华州大地震”。这是人类历史上有明确记载的死亡人数最多的地震,造成约 83 万人遇难,波及陕 ... 人类之最01-24
-
他一个人,让埃及通胀十年:史上最富有的人有多夸张? 一个人,真的能仅凭一己之力撼动一个帝国的经济根基吗?答案是:不仅能,还能让通胀阴影持续十余年。而且这个人,既非欧洲贵族,也不是现代资本大佬,而是 14 世纪的非洲帝王 —— 曼萨・穆萨。曼萨・穆萨他被公认为 ... 人类之最01-23
-
人体最没用的器官,切掉不仅没事,反而对身体更好?看完涨知识了 在人类身体的这座“工厂”里,大部分器官都兢兢业业,心脏负责泵血,肝脏在解毒,肾脏调节水电解质,胃肠道忙着吸收营养,但有一个地方,却总被人说“没啥用”,有它不觉得多,没它也不觉得少,出问题了直接切掉,日 ... 人类之最01-23
-
瞭望中国式创新⑤丨人类健康最艰巨的挑战,150年难题有望破解? 从人工智能、具身智能、脑机接口到量子计算等领域,科技创新在中国大地上浪奔浪流,新一代创业者以原始创新为使命,破土而出。联想创投作为联想集团的“科技瞭望塔”,以“科技•产业•CVC”为特色,坚定投早、投小 ... 人类之最01-22
相关文章
- 【历史上的今天】1556.1.23 华州大地震:人类史上最惨痛的震灾
- 他一个人,让埃及通胀十年:史上最富有的人有多夸张?
- 人体最没用的器官,切掉不仅没事,反而对身体更好?看完涨知识了
- 人类文明最牛“外挂”!从结绳记事到手机打字,它如何改写历史?
- 瞭望中国式创新⑤丨人类健康最艰巨的挑战,150年难题有望破解?
- 若尔盖的风雪里,藏着人类最该读懂的爱与自由
- 人类史上最顶级“零元购”:吸干印度200年,留下45 万亿天价账单
- 说说失落叶网游三部曲《网游之纵横天下》,网游小说的巅峰之作!
- 圣道·续篇(四):星际文明永续之路——人类大同之光
- 洗澡时把金冠扔进水缸算浮力公式;读出了人类最古老的微积分
- 人类被地球的“蓝色外衣”骗了多久?全球水攒一起,竟不及半个月球
- 人类世的政治狗:与他者一起好好生活可能吗
- 人类“最惨”的一年是哪一年?公元536年称第二,没人敢称第一!
- 元素之最:人体内含量最多的元素是氧,其次是碳、氢、氮。
- 泰勒斯:用水点亮理性之光,开启人类史上最震撼的思想革命!
- 阿基米德:用数学对抗罗马军队的疯子天才,如何改变了人类文明?
- 世界之最,东方之最之一:陶罐问世,创智人诞生于我们华夏大地
- 人类最危险的13天:古巴导弹危机,你不知道的惊天内幕
- 耶稣未曾留下一幅画像,却成了人类最常凝视的面容;没有著书立说
- 裸奔、撬地球和浴缸里的尖叫:阿基米德,史上最硬核科学玩家
热门阅读
-
关于男人的15个世界之最,最长阴茎达56厘米 07-13
-
东方女性最标准的乳头(图片),看看自己达标吗 07-13
-
人体器官分布图介绍 五脏六腑的位置都在哪 07-13
-
木马刑是对出轨女性的惩罚 曾是满清十大酷刑之一 07-13
-
熙陵幸小周后图掩盖性暴力 至今保存于台湾博物馆 07-13
-
包头空难堪称国内最惨案件 五名遇难空姐照曝光 07-13
-
2022中国最新百家姓排名,你的姓氏排第几? 03-26
-
好玩的绅士手游有哪些?2022十大绅士游戏排行榜 10-18
