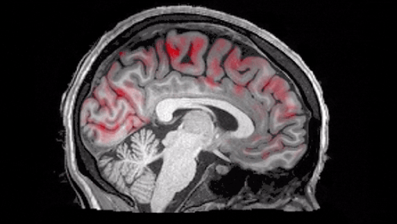
自然醒后为什么大脑会清爽 原来是因为大脑有这个功能

科学家们发现人类在睡着之后,大脑中的血液就会周期性的大量流动,在这个过程中就是一次次的对于大脑进行清洗。科学家们认为这一大股血液就可以把大脑当中的毒素给带出去可以清除老年痴呆症的元凶淀粉样蛋白,所以说科学家才会一直倡导人们睡好,睡饱,可以发现平时睡眠质量比较好的人,大脑会更加清晰,并且记忆力也会更强。

在睡觉的时候,人类的身体也会有很多器官正在工作,并且这也是器官排毒的一个重要方式,身体就可以在睡眠的时候让人类通过呼吸或者是出汗等方式让身体里的赌注全部都一一清除。尤其是大脑可以起到舒缓和排毒的作用,也就是说在感觉十分疲劳的时候,只要睡一个小时或者半个小时,醒来再次开始工作和学习状态就会完全不同。

科学家们倡导大家要给大脑十分充足的清洗和休息的时间,这样就会有更多的精神和更多的活力。避免抽烟,喝酒,还有熬夜,长时间对于大脑的摧残可能就会导致老年时期大脑毒素堆积过多,产生老年痴呆症以及其他的大脑疾病。
大家都在看
-
《宇宙探索编辑部》追了半生宇宙,才懂平凡人间,才是终极答案 作为看遍各类科幻与现实题材的影评人,很少有一部电影能像《宇宙探索编辑部》这样,没有炫酷特效,没有惊天反转,却用最笨拙、最赤诚的理想主义,戳中无数人心里最软的地方。我们都曾像主角唐志军一样,抱着一份不被 ... 宇宙探索03-22
-
一个国家插入另一个国家? 一个国家插入另一个国家腹地会有什么影响?就像位于西非的冈比亚和塞内加尔。冈比亚占据冈比亚河下游两岸的狭长地带,犹如一把匕首插入塞内加尔中。冈比亚河是西非唯一通航海船的河流,由于冈比亚控制了主航道,内陆 ... 宇宙探索03-22
-
探索微观宇宙,见证科技奇迹!🔍🔬✨ 在这个由精密齿轮构成的微观宇宙里,每个细节都决定着系统的命运。一个微小的错位就能让整个系统陷入停滞,这就是系统的脆弱性,对细节的敏感度超乎想象。而点滴的校准是引导能量流向的关键。当细节被精准把控,能量 ... 宇宙探索03-22
-
第十九章:万灵共振,探索宇宙的奥秘,见证生命的奇迹!🚀✨ 唤醒生机之种的过程成了全银河生灵的共同使命。联盟向所有星球发出号召,用最纯粹的希望与勇气向枯寂星传递意念这两种情感。在法则层面恰是光的存续与暗的革新最鲜活的体现。·一、时间新银河的每一颗星球上,无论是 ... 宇宙探索03-21
-
探索宇宙的奥秘,揭开宇宙的神秘面纱!🔍🔬 宇宙究竟是平坦的还是弯曲的?这个问题让无数科学家和天文迷争论不休,真相究竟是什么?宇宙是否平坦一直是天文学界的一个热门话题。根据广义相对论,如果宇宙是平坦的,那么光线在宇宙中就能直线传播,不会发生弯曲 ... 宇宙探索03-19
-
太空探索:人类如何一步步走出地球,开启宇宙之旅 说起太空探索,很多人脑海里浮现的可能是宇航员穿着厚厚的宇航服,驾驶飞船飞向月球或者火星的画面。但其实,太空探索的故事远比这些画面更精彩、更复杂,也更充满了人类的智慧和勇气。今天咱们就来聊聊,这场人类走 ... 宇宙探索03-18
-
探索宇宙的奥秘,从大爆炸到黑洞,带你走进神秘的星空世界! 先说大爆炸吧。想象一下,138亿年前,整个宇宙其实是一个极其炽热、密度超高的“火球”,比太阳还要热千万倍,空间几乎没有。突然,这个“火球”开始疯狂膨胀,速度快得难以想象,这就是大爆炸。别误会,这不是普通 ... 宇宙探索03-18
-
探索宇宙奥秘:地球的起源与生成之旅🌍✨ 地球的起源与生成过程。耄耋视频。远古时期宇宙的起源和地球的生成是一个宏大且复杂的过程,涵盖了从宇宙大爆炸到地球形成的漫长演变历程。以下是对浩瀚宇宙、地球起源与生成过程的简要概述。宇宙的起源与浩瀚宇宙。 ... 宇宙探索03-16
-
北京天文馆“宇宙探索营”开启\中国人民抗日战争纪念馆卢沟桥抗战半景画全新升级……本周最新博物馆资讯点击—— 春天来了,本市多家博物馆以丰富多彩的活动迎接2026年的到来。北京文博推出“1分钟博物馆”资讯栏目,在新年为您推介文博最新资讯,让我们一起走进2026年的博物馆之城吧!北京天文馆“宇宙探索营”今日启动 沉浸式探 ... 宇宙探索03-15
-
科学家追踪引力波,结果发现更离谱的宇宙事件 2019年,人类接收到了一段来自宇宙深处的“低语”。这不是光,也不是普通的电波,而是一种极其特殊的信号——引力波。如果把宇宙想象成一张巨大的橡皮膜,那么当黑洞、恒星这样的大质量天体剧烈运动时,就会在这张膜 ... 宇宙探索03-10
相关文章
- 探索宇宙奥秘:地球的起源与生成之旅🌍✨
- 探索未知宇宙苍穹
- 北京天文馆“宇宙探索营”开启\中国人民抗日战争纪念馆卢沟桥抗战半景画全新升级……本周最新博物馆资讯点击——
- 从《宇宙探索编辑部》到《坠落的审判》,他用60余张海报设计解码光影背后的“无序公式”
- 科学家追踪引力波,结果发现更离谱的宇宙事件
- 以光速的20%飞行:科学家展示“实用”光帆探索宇宙
- 看不见的宇宙:暗物质与暗能量的证据、理论与探索
- 美国太空部队:要有攻击中国卫星能力,探索部署攻击性轨道航天器
- “大航天时代”会加速人类探索宇宙的进程吗
- 三种“超光速”现象,告诉你宇宙远比想象疯狂
- 微积分:探索宇宙无限奥秘的钥匙
- 探索月相奥秘,揭示宇宙的奇妙!🌙✨
- 宇宙或许不是无限的,它的总质量已经被推算出来
- 探索宇宙的奇迹,太空站俯瞰地球!🌍✨
- 宇宙探索:人类的火星梦想与深空探测
- 从水火土到夸克 2500年物质探索 重塑宇宙认知
- 暗物质捕手+天文AI,中国科学家把宇宙探索“卷”出新高度
- 航天科技究竟是什么?它为什么能让我们仰望星空,探索宇宙奥秘?
- 未来宇宙探索:与外星文明首次接触,是友是敌?
- 宇宙“发动机”,探索未知的奥秘!🔭🌌
热门阅读
-
预言2030年太阳将休眠,恐怖的千年极寒将来临 07-11
-
中国十大元帅之死,多高寿而善终(林彪叛逃而死) 07-11
-
因果报应真实事例,做尽坏事必遭天谴 07-11
-
这6个神奇天体有很酷的名字 06-01
-
全球人口减少可能带来的六大教训和好处 07-18
-
离太阳最近的十大恒星排名,宇宙最大十大星球 04-12
精选文章
- 创生之柱是什么?(创生之柱给予了许多恒星生命)
- 中国51区秘密基地,窃密必被抓(抓住就杀头)
- 中国“天宫”空间站将在2022年前后建成 呈T字型有三个舱段最多可驻留6人 ...
- 新冠病患康复后,可能“精子减少或无精”
- 中国古代四大凶兽,四大神兽vs四大凶兽谁更强
- 2025年宇宙探索大爆发!月全食、火星冲日等,这些天文奇观别错过
- 黑龙江50万年死火山苏醒, 内含15%电量的巨大岩浆囊
- 误会一辈子!破伤风其实是一种细菌跟生锈铁完全没关系
- 美国同步空间态势感知项目(GSSAP)军事间谍卫星多次秘密靠近俄罗斯和中国的航天器 ...
- 中国长征五号B遥一运载火箭全貌曝光 本月底在海南文昌航天发射场进行首次发射 ...
