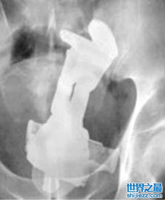
急诊室医生从直肠里拿出最诡异的物品,巴斯光年也在里面! ...
急诊室可以说是最能看透人生百态的地方,不仅是生老死别,几乎所有的紧急状况都可以在里面看过一轮。而就有一位医生分享他在急诊室中最诡异的经历,许多人会把奇怪的东西全部塞到屁股里,有一次他竟然拿出来……“巴斯光年”!
之前我们就有报过一则新闻,有一个男子被送到急诊室时,屁股里面塞了一根“大黄瓜”,而且她还坚持是自己刚好不小心半裸走在农田,又刚好不小心跌倒,就这么巧这根黄瓜突破了一切空气的阻拦,不偏不移就插到他的屁股里。这些送来急诊室的患者们,大部分都会坚持自己是“不小心”的。
在印度曾经有一位男子因为腹部痛送到急诊室,没想到X光一照竟然发现里面有一团电线。在医生的逼问下,他才坦诚是之前为了助兴才塞进去的,没想到却卡在里面只好摆着,没想到却让自己变成排尿有困难。
而据美国消费者安全委员会的数据表示,直肠是最多人把异物收纳进去的地方。像是啤酒罐、圣诞节挂饰、药瓶、雪茄管,甚至是一整尊的巴斯光年。这些都曾经是急诊室的医生,从病患的屁屁里面拿出来的诡异物品。
而且不只是屁股,医生还透露有人将火柴、珍珠、项链塞到耳朵里,把游泳的浮条放到鼻孔中,或是吞进去一台小收音机,喉咙卡住。
而且在印度还有一位62岁的男子,因为肚子疼痛不已就医,没想到医生竟然在他肠子里面,找到一个21厘米高的钢杯。而男子回想之后,认为他在几天前被歹徒抢劫过,而他在意外的当下被打昏,接着醒来以后屁股跟腹部都有疼痛感,认为是歹徒所为。
但至于这个男子所说的真伪,医生们只是笑笑不予置评!
大家都在看
-
世界之大无奇不有,26张照片带你看不一样的奇闻趣事 1.梦露为肯尼迪唱生日快乐歌的那个夜晚,裙子造价被精确记录到美分:1440美元33美分。五十四年后,2016年11月,这条裙子在拍卖会上以480万美元成交。2.在法国,“第一玫瑰”的名字几乎与苏菲·玛索画上了等号。岁月 ... 奇闻怪事05-01
-
民间奇闻:15年灵龟困树不死,三桩民间旧事,道尽天地禁忌宿命! 世间真有熬不死的生灵?能扛过十数载风霜雨雪,不吃不喝也能活命?老辈人传下的话,从来都不是随口瞎掰。南北朝大定年间,楚地岳州地界,荒岭连着黄河故道的余脉。土厚林密,山深雾重,藏着数不清凡人摸不透、说不破 ... 奇闻怪事04-26
-
民国奇闻:一口棺材密封数年,打开里面的鲤鱼还活着!冯国璋看傻 冯国璋民国年间,有一口棺材,离奇得让人后背发凉。话说冯国璋当上代总统之后,有个下属跑来送了他一口棺材。不是祝他“升官发财”那种吉利话,是真真切切的一口大棺材,用大红绸缎盖着,抬到了冯国璋的府上。冯国璋 ... 奇闻怪事04-26
-
袁世凯奇闻逸事 说起袁世凯,这人绝对是晚清民国头号搞笑枭雄,一身奇葩趣事特别的多,而且黑幽默居多! 他打小就是妥妥的学渣,科举考两次全都落榜,直接摆烂躺平,书一扔绝不死磕八股,转头跑去当兵,立志靠拳头和兵权闯天下。其 ... 奇闻怪事04-26
-
乡村奇闻异事 江苏徐州一个宁静的村庄里,一场原本遵循旧俗的百岁老人葬礼,猝不及防地演变成了一场令人头皮发麻又热泪盈眶的奇观。当起灵的哀乐响彻云霄,几名壮汉正准备抬起灵柩时,天空突然传来异样的低鸣。数十只体型硕大的飞 ... 奇闻怪事04-26
-
离谱又真实!全球奇闻趣事大赏,看完大开眼界 2026-04-24 17:00 · 奇闻趣事 · 原创 盘点近期全网刷屏的真实奇闻,每一件都离谱到像编故事,却件件有依据、能查证,看完忍不住感叹世界真奇妙! 一、国内硬核母爱:武汉妈妈花60万买1斤黄金当嫁妆 4月21日,武汉 ... 奇闻怪事04-25
-
世界之大无奇不有,带你了解不一样的奇闻趣事 世界之大无奇不有,带你了解不一样的奇闻趣事世界之大无奇不有,带你了解不一样的奇闻趣事昨晚刷手机刷到凌晨两点,我盯着刘亦菲那张脸,突然意识到一个恐怖的事实:我活了三十多年,居然连一只鸽子都不如。纽约地铁 ... 奇闻怪事04-17
-
奇闻异录500个故事 文/杨普义第一卷 古典志怪篇1. 干将莫邪铸剑复仇楚国巧匠干将、莫邪夫妇,耗时三年为楚王铸成雌雄双剑。楚王恼怒耗时太久,斩杀干将。干将之妻生下儿子赤鼻,赤鼻长大后得知身世,持父亲暗藏的雄剑,在侠客相助下, ... 奇闻怪事04-14
-
世界之大无奇不有,十八张照片带你看不一样的奇闻趣事 1.澳门摘得2025地球小姐冠军的陈思贝,真是位自带光芒的姑娘!她的美内外兼修,不刻意不浮躁,值得细细欣赏,也难怪能在赛场闪闪发光,让人一眼难忘。2.无论是动物还是我们人类,父母对子女的那份心都是一样的,真是 ... 奇闻怪事03-29
-
民间奇闻:女孩误入镜像时空门洞,选错一边后,亲人全都变了模样 在民间流传的各类奇闻轶事里,关于平行世界、时空缝隙的传说一直让人充满好奇。有人说,我们生活的世界之外,藏着不为人知的镜像空间,只有极少数人,能在机缘巧合之下撞见。下面这个故事,来自网友陈女士的亲身口述 ... 奇闻怪事03-22
相关文章
- 世界之大无奇不有,十六张照片带你看不一样的奇闻趣事
- 村里老人说:没人敢讲的乡村奇闻真实经历
- 滑稽笑星舒悦的五大奇闻异事
- 民间奇闻探秘,被老人讳莫如深的3个鬼传闻,藏着不为人知的真相
- 我在乡下做了十年道士,笔记里记下的那些奇闻异事
- 论当代社会奇闻趣事
- 下班摸鱼必看!3个最新奇闻,每一个都刷新认知
- 分享你身边的奇闻异事
- 2月9日离谱奇闻合集!件件笑到捶桌,第3个太绝了
- 中国近代5桩野史奇闻:大师搓麻、太监掌权、民间神医断头还生
- 杭州发生过哪些奇闻异事?
- 野史揭秘:那些被正史藏起来的奇闻怪事,古人到底有多“疯狂”?
- ~奇闻趣事
- “曹禺真会‘读书’假洗澡?古代名人奇闻趣事大揭秘!”
- 分享一些你知道的民间奇闻异事
- 奇闻怪事:广德某妇得孕产蛇!
- 历史上的奇闻异事:那些至今未解的神秘谜团,你知道几个?
- 全球奇闻趣事大集合:冷门知识一览
- 野史大揭秘:那些被正史藏起来的奇闻趣事,竟然比正史还精彩!
- 令人瞠目结舌!历史上最荒诞却真实的五件奇闻
热门阅读
-
日本gv公司盘点,高质量钙片清秀型美攻美受 07-11
-
盘点中国十大龙现身事件,真龙竟然屡次现身震惊众人 06-27
-
戴旭说出马航失联真相,因为害怕承担责任迟迟不公开 07-05
