男孩一天喝9升水被查出肿瘤 多喝水都危害
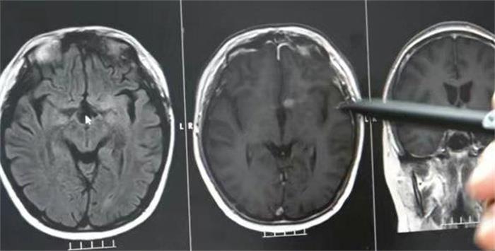
近日,广州一男孩因饮水量惊人,被家人察觉到异常。除了喝水多之外,男孩在日常生活中还有异常行为,家属曾一度怀疑男孩在精神方面有问题,后经医生诊治确诊男孩患上了混合型生殖细胞肿瘤。经过专业的放射治疗之后,男孩的体温以及情绪逐渐恢复稳定。

男孩的名字叫彬彬,据其家属表示最开始发现不正常,是因为18升的家庭桶装水,彬彬两天的时间内就可以将其喝完,又特别喜欢往外跑,喜欢找陌生人聊天,而你有吃的吗,你是哪里人,这两句话也成为了日常生活中彬彬的口头禅。又有一段时间,他的情绪就特别容易被激怒,当时以为孩子进入青春期患上了抑郁症,根据这个病因治疗,几个月之后,不光没有好转,竟然还出现了视力上的问题,走路的时候出现了经常摔跤的行为,根据以上种种现象彬彬的家属就认为,孩子是不是因为压力过大,出现了精神方面的问题。

带着彬彬来到医院经过专家会诊,才确认彬彬出现异常行为,是因为他患上了混合型生殖细胞肿瘤,当时医生就做出了放射治疗的决定,认为放射治疗对于孩子的危害比较轻,又能够尽快控制住他的病情,现在每天喝水量控制在三升左右,仍然在医院接受化疗,并且头上的病灶已经通过手术切除,恢复的比较好。

医生也再次提醒这类的疾病,在发病的时候表现出来的症状非常的隐蔽,比如日常生活中经常出现的多喝水多尿,同时还会出现内分泌紊乱,视力减退等症状。如果孩子在日常生活中出现了不舒服的症状,家长一定要高度警惕,及早带孩子到专科进行筛查确诊病因。
大家都在看
-
下班摸鱼必看!3个最新奇闻,每一个都刷新认知 5点半下班啦!刷到这篇算你赚了~ 3个近期刚爆的新奇闻,不枯燥、不啰嗦,颠覆认知、自带笑点和槽点,下班路上3分钟看完,看完必想转发评论,轻松缓解一天疲惫!一、离谱!人参喂猪、牛奶浇地,噱头大于实际?最近两 ... 奇闻怪事03-02
-
分享你身边的奇闻异事 饺子刚咬开个口,翠花突然脚下一空,整个人摔进无边黑暗。再睁眼,竟站在满是灯笼的青石街上,街上人来人往,穿的衣裳有新有旧,说话调子慢悠悠。穿绿袄的大妈挎着竹篮经过,说这是阴曹,今儿三十正过年。翠花吓得腿 ... 奇闻怪事02-22
-
2月9日离谱奇闻合集!件件笑到捶桌,第3个太绝了 AI把警官写成青蛙、年会特等奖拆出瓷砖、小狗记仇拖三轮车报复…今日奇葩事扎堆,每一个都刷新认知!▫️美国警局AI翻车,执勤警官竟被写成“青蛙在现场监督”,硬核乌龙笑翻全网▫️广东小伙年会抽中特等奖手机,拆 ... 奇闻怪事02-10
-
中国近代5桩野史奇闻:大师搓麻、太监掌权、民间神医断头还生 提到中国近代史,多数人想到的是鸦片战争、辛亥革命、军阀混战的宏大叙事。但在正史的字缝里,藏着太多让人拍案叫绝的野史奇闻——治学严谨的大师沉迷搓麻,权倾朝野的太监暗藏智慧,民间裁缝能续断头性命。这些不为 ... 奇闻怪事02-10
-
杭州发生过哪些奇闻异事? 探秘杭州:那些令人惊叹的奇闻异事杭州,这座充满诗意与历史韵味的城市,宛如一幅徐徐展开的画卷,不仅有西湖的湖光山色,更藏着许多鲜为人知的奇闻异事。今天,就让我们一起揭开杭州神秘的面纱,探寻那些令人啧啧称 ... 奇闻怪事02-07
-
野史揭秘:那些被正史藏起来的奇闻怪事,古人到底有多“疯狂”? 大家好,欢迎来到今天的“古代野史大揭秘”!你以为史书都是严肃正经、一本正经写历史?错!其实,正史就像一本“教科书”,而野史,则像是一本“八卦杂志”,藏着许多正史不敢提的奇闻趣事。今天我们就来扒一扒那些 ... 奇闻怪事01-28
-
~奇闻趣事 奇闻趣事:那些令人惊叹的奇妙瞬间世界之大,无奇不有。在这个广袤的地球上,每天都在发生着各种令人匪夷所思的奇闻趣事。有些事情看似不可思议,却又真实发生,让人不得不感叹世界的神奇与奇妙。今天,就让我们一起 ... 奇闻怪事01-27
-
“曹禺真会‘读书’假洗澡?古代名人奇闻趣事大揭秘!” 大家好!今天给大家带来一段鲜为人知的古代趣闻,主角可是中国现代戏剧大师曹禺(原名万家宝)。不过,这次他的“传奇”故事可不是舞台上的表演,而是一段“假洗澡读书”的趣味轶事!听起来是不是像古代版的“偷懒秘 ... 奇闻怪事01-27
-
奇闻怪事:广德某妇得孕产蛇! 奇闻怪事:广德某妇得孕产蛇!作者:徐厚冰民国三十二年(1933),安徽省广德县(今广德市)南乡小刘村发生一件奇闻怪事——该村汪小云年过六旬,膝下无子。去年(1932)三月,其妻腹渐隆起,夫妇以为老来得孕,欣喜 ... 奇闻怪事01-25
-
历史上的奇闻异事:那些至今未解的神秘谜团,你知道几个? 嘿,朋友们!今天咱们不聊那些枯燥的历史教科书,而是来点“硬核”的——那些让人百思不得其解的历史谜题。你有没有想过,古人留下的那些神秘遗迹,到底隐藏着什么秘密?那些奇异事件,到底是巧合,还是另有隐情?今 ... 奇闻怪事01-22
相关文章
- 奇闻怪事:广德某妇得孕产蛇!
- 历史上的奇闻异事:那些至今未解的神秘谜团,你知道几个?
- 全球奇闻趣事大集合:冷门知识一览
- 野史大揭秘:那些被正史藏起来的奇闻趣事,竟然比正史还精彩!
- 令人瞠目结舌!历史上最荒诞却真实的五件奇闻
- 你听过世界上有哪些奇闻异事吗
- 古代奇闻小故事五则
- 古代奇闻小故事四则
- 你绝对想不到!历史上那些离奇又趣味的奇闻异事,笑到肚子疼!
- 揭秘古代那些被历史遗忘的荒唐秘闻,笑到肚子疼的古代奇闻趣事
- 世界之大无奇不有,19张照片带你看不一样的奇闻趣事
- 奇闻,你听到过吗?
- 揭秘鲜为人知的历史秘闻:那些令人惊叹的奇闻趣事,你知道吗?
- 国画秘史:那些令人咋舌的奇闻巧合
- 世界之大无奇不有,十九张照片带你看不一样的奇闻趣事
- 世界之大无奇不有,18张照片带你看不一样的奇闻趣事
- 世界之大无奇不有?20张照片带你看不一样的奇闻趣事
- 世界之大无奇,16张照片带你看不一样的奇闻趣事
- 网上疯传的“乡村奇闻”,每一件都炸裂你的三观
- 世界之大无奇不有,20张照片带你看不一样的奇闻趣事
热门阅读
-
日本gv公司盘点,高质量钙片清秀型美攻美受 07-11
-
盘点中国十大龙现身事件,真龙竟然屡次现身震惊众人 06-27
-
戴旭说出马航失联真相,因为害怕承担责任迟迟不公开 07-05
