带状疱疹 剧痛「有一种剧痛叫带状疱疹专家50岁后尤其要当心积极预防」
随着医学技术的发展,不少过去我们认为很严重、无法治愈的疾病,都有了科学的医治方法。
例如,在民间一直有一种叫做“蛇缠腰”的疾病,得了这种病之后,身上会出现像蛇一样的红色水泡或印记,不仅看起来可怕,而且还会令人感到剧痛。还有不少民间传言认为,只要“蛇”的首尾相连就会致人死亡。

现在我们已经知道,所谓的“蛇缠腰”就是带状疱疹,可人们对于带状疱疹的“恐惧”似乎并没有彻底消除,那么,带状疱疹真的会致人死亡吗?我们要如何才能预防带状疱疹呢?
“蛇缠腰”会死人?其实是带状疱疹!
钱阿姨最近很烦恼,原本她退休之后的生活十分轻松愉快,白天就养花种草,晚上就跳跳广场舞,可这几天,她总是觉得背部疼痛。
一开始,她以为是因为之前新学的那个“广场舞动作”导致她拉伤肌肉导致的,为此她特地休息了两天没有去跳广场舞,可没想到是,背部疼痛不仅没有减轻,好像还有加剧的趋势。

而且,钱阿姨还偶尔会觉得背上会有烧灼感,身上也没有力气,明明以前养花种草都不觉得累,但这几天连浇水都觉得没力气。
正巧钱阿姨的邻居吴阿姨看她这几天都没有去跳广场舞,特地到家里来探望她,钱阿姨就跟吴阿姨说了自己的症状。吴阿姨一听,就说想看看钱阿姨的背部情况,没想到的是,吴阿姨看完之后说的话,可把钱阿姨吓了一跳。
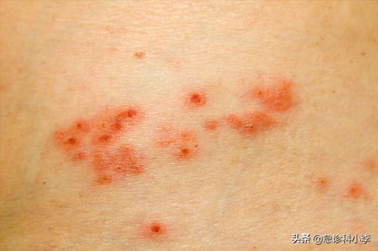
吴阿姨说,钱阿姨背上已经起了一排红红的水泡,这就是得了“蛇缠腰”,一定要抓紧治疗,等到这个“蛇”的首尾相连,那就要死人啦。

钱阿姨一听就着急了起来,赶紧给女儿打电话,让她陪着自己去医院检查。在皮肤科,医生详细询问了钱阿姨的病情,又进行了检查,然后告诉钱阿姨,她这是得了带状疱疹。
医生表示,带状疱疹是一种由水痘-带状疱疹病毒引起的感染性疾病,由于这种疾病会表现为呈现带状的成簇水泡,因此叫做带状疱疹。
一般而言,带状疱症只发生在患过水痘的人身上,医学上认为,患者儿时患过水痘后,虽然痊愈了,但病毒可能会沿着感觉神经“潜伏”于人的身体内。有数据显示,我国大约95%的人水痘-带状疱疹病毒抗体呈阳性,这就意味着绝大多数人都可能会得带状疱疹。
随着患者的年龄增加或是免疫力下降,潜伏的病毒就会被“激活”,并沿着感觉神经发展为带状疱疹,并引起剧烈的疼痛,令患者感到难以忍受。
而且,带状疱疹最大的危险因素就是年龄,像钱阿姨这样50岁以上的中老年人,更容易患上带状疱疹,需要特别引起警惕和积极预防。

不过,医生安慰钱阿姨说,带状疱疹通常会发生在身体的一侧,不会跨过身体的“中线”,因而,钱阿姨也不用担心“蛇首尾相接”的问题,更不用担心“首尾相连”就要死人的问题。因为带状疱疹很少会危及生命,70岁以上的患者如果得了带状疱疹,死亡率仅有大约为千分之一,大多数人患病后只要积极治疗,就能痊愈,也不会留下太多的后遗症。
正确治疗,带状疱疹也不可怕
医生告诉钱阿姨,人身体的任何部位都可能会发生带状疱疹,通常在最初发病的时候,患者只会感到皮肤的疼痛或是烧灼感,一些人会感到乏力、头痛或是有低烧的症状。
几天之后,患者感到疼痛的皮肤上就会出现成簇的丘疱疹、水泡,周围皮肤还会产生红晕。而带状疱疹最为“折磨人”的地方,就是会令患者感到剧烈的疼痛,一般这种疼痛是阵发性的,但有时候也会产生持续性疼痛,而且衣服碰到了患处还会导致疼痛加剧,令人难以忍受。

一般而言,1-2周后水疱就会结痂脱落,皮疹也会在2-4周内消退,但一些年龄较大或是免疫力较低的患者在带状疱疹痊愈之后,会出现持续3个月以上的疼痛,这被称之为带状疱疹后遗神经痛,通常会随着时间的推移逐渐改善,但也有30%-50%的患者会有持续1年以上的疼痛,甚至有一些患者的疼痛会长达10年,这也是让很多患者对带状疱疹感到“恐惧”的原因。
假如带状疱疹发生在头面部,特别是在眼睛周围时,那么一定要引起重视,因为这种情况下,带状疱疹可能会产生的后果最为严重。
水痘-带状疱疹病毒侵犯到眼部时,就会出现眼带状疱疹,除了引起剧烈疼痛外,还会引起结膜炎、角膜炎等疾病,如果患者不及时就医,甚至可能会导致失明这样严重的后遗症。
而当病毒影响到听力或面部神经时,就可能会引起听力受损、面部疼痛或甚至是面瘫。虽然这种情况会随着带状疱疹的痊愈而逐渐消失,但患者还是需要积极治疗,因为如果对其听之任之,也可能会出现永久性的面瘫、听力丧失等严重的后遗症。

不过,医生告诉钱阿姨,只要进行科学治疗,带状疱疹也没有那么可怕。带状疱疹是由病毒引起的,而针对病毒的治疗最重要的就是要“早”。
医生表示,带状疱疹最佳的治疗时间是出疹后的1-3天之内,此时应用抗病毒药物效果较好。
钱阿姨前来就诊还比较及时,因而医生给她开了一些伐昔洛韦,叮嘱她每天服用三次。此外,医生还给钱阿姨开了一些止痛药,告诉钱阿姨疼痛难忍时可以服药止痛。

医生还告诉钱阿姨,这段时间要尽量穿着比较宽松的衣服,避免衣服与患处产生摩擦,导致水疱破裂。
另外,平常要保持还珠的清洁,可以用湿毛巾冷敷患处来缓解可能产生的皮肤瘙痒,并舒缓皮肤、保持患处的清洁。如果有条件也可以用紫外线对患处进行局部照射,以促进水疱的干涸和结痂、缓解疼痛。

钱阿姨听完之后连连点头,随即又问道,那么带状疱疹会复发吗?要是再这么来一次可受不了。
如何预防带状疱疹?
医生让钱阿姨放心,一般来说,带状疱疹痊愈后,就不太会复发,一份美国的数据显示,带状疱疹的疾病复发率在1%-6%之间,而钱阿姨只要能够做好预防工作,就能再进一步降低复发的风险。
首先,预防带状疱疹最为重要的一个方式,就是打疫苗。
早在2019年,我国就已经批准了带状疱疹疫苗的使用,50岁以上的人群都可以进行接种,这种疫苗的保护效力超过90%,能够极大地降低带状疱疹产生的概率。

如前所述,50岁以上的人群更容易得带状疱疹,接种疫苗就显得更为重要了。
医生提醒,带状疱疹疫苗要接种2针,在2-6个月内接种完毕,千万不要怕麻烦只去接种一次或者是间隔时间半年以上才去接种第二针,这样起不到保护作用。
其次,就是要建立一个健康的生活习惯,增强自己的免疫力。如前所述,带状疱疹是因为人体的免疫力降低,病毒才趁虚而入的,因此,我们可以从饮食、锻炼两个角度入手,增强体质。
一方面,我们要均衡饮食,不仅要多吃蔬菜水果,也要多吃肉蛋奶等富含蛋白质和其他营养元素的食物,这有助于增强我们的抵抗力。

另外一方面,我们还要注意增强运动、劳逸结合。对于中老年人而言,每天可以进行一些中低强度的运动,以不感到太过劳累为宜。如果感到特别疲劳,应该先保证充足的睡眠和休息后,再考虑进行运动。
这样“双管齐下”,就能增强体质,让水痘-带状疱疹病毒没有“可乘之机”。
最后,我们还应该避免接触水痘或者带状疱疹患者。因为带状疱疹都是具有一定传染性的疾病,尤其没有得过水痘的成人,更要注意不要接触患者。
一般而言,带状疱疹多是通过接触患者的水疱、与患者共用毛巾、直接接触皮肤的衣物等方式传染的,极少通过呼吸道传染,所以我们只要注意不接触患者的患处或他们所使用的物品,就能够避免感染。

此外,水痘-带状疱疹病毒在人体之外的自然环境中生存能力比较差,因而只要等到患者的水疱都结痂之后,那么病毒就会很快失去活性,也就基本没有传染他人的可能性了。
不过,我们也不用太过恐慌,因为带状疱疹的传染性比较低,患者通过直接传染患上带状疱疹的情况比较少,反而是儿童在密切接触带状疱疹患者后,可能会感染上水痘,需要我们多加注意。

总体来说,通过注射疫苗、增强自身抵抗力等方式,我们就能避免患上带状疱疹了。
钱阿姨听完医生的解释之后也放心了许多,她告诉医生,可能是平时她偏爱素食导致自己摄入的营养不够均衡,才导致了免疫力降低,今后还是要多吃肉蛋奶,提高免疫力,以免再被疾病找上门。
大家都在看
-
民间奇闻:15年灵龟困树不死,三桩民间旧事,道尽天地禁忌宿命! 世间真有熬不死的生灵?能扛过十数载风霜雨雪,不吃不喝也能活命?老辈人传下的话,从来都不是随口瞎掰。南北朝大定年间,楚地岳州地界,荒岭连着黄河故道的余脉。土厚林密,山深雾重,藏着数不清凡人摸不透、说不破 ... 奇闻怪事04-26
-
民国奇闻:一口棺材密封数年,打开里面的鲤鱼还活着!冯国璋看傻 冯国璋民国年间,有一口棺材,离奇得让人后背发凉。话说冯国璋当上代总统之后,有个下属跑来送了他一口棺材。不是祝他“升官发财”那种吉利话,是真真切切的一口大棺材,用大红绸缎盖着,抬到了冯国璋的府上。冯国璋 ... 奇闻怪事04-26
-
袁世凯奇闻逸事 说起袁世凯,这人绝对是晚清民国头号搞笑枭雄,一身奇葩趣事特别的多,而且黑幽默居多! 他打小就是妥妥的学渣,科举考两次全都落榜,直接摆烂躺平,书一扔绝不死磕八股,转头跑去当兵,立志靠拳头和兵权闯天下。其 ... 奇闻怪事04-26
-
乡村奇闻异事 江苏徐州一个宁静的村庄里,一场原本遵循旧俗的百岁老人葬礼,猝不及防地演变成了一场令人头皮发麻又热泪盈眶的奇观。当起灵的哀乐响彻云霄,几名壮汉正准备抬起灵柩时,天空突然传来异样的低鸣。数十只体型硕大的飞 ... 奇闻怪事04-26
-
离谱又真实!全球奇闻趣事大赏,看完大开眼界 2026-04-24 17:00 · 奇闻趣事 · 原创 盘点近期全网刷屏的真实奇闻,每一件都离谱到像编故事,却件件有依据、能查证,看完忍不住感叹世界真奇妙! 一、国内硬核母爱:武汉妈妈花60万买1斤黄金当嫁妆 4月21日,武汉 ... 奇闻怪事04-25
-
世界之大无奇不有,带你了解不一样的奇闻趣事 世界之大无奇不有,带你了解不一样的奇闻趣事世界之大无奇不有,带你了解不一样的奇闻趣事昨晚刷手机刷到凌晨两点,我盯着刘亦菲那张脸,突然意识到一个恐怖的事实:我活了三十多年,居然连一只鸽子都不如。纽约地铁 ... 奇闻怪事04-17
-
奇闻异录500个故事 文/杨普义第一卷 古典志怪篇1. 干将莫邪铸剑复仇楚国巧匠干将、莫邪夫妇,耗时三年为楚王铸成雌雄双剑。楚王恼怒耗时太久,斩杀干将。干将之妻生下儿子赤鼻,赤鼻长大后得知身世,持父亲暗藏的雄剑,在侠客相助下, ... 奇闻怪事04-14
-
世界之大无奇不有,十八张照片带你看不一样的奇闻趣事 1.澳门摘得2025地球小姐冠军的陈思贝,真是位自带光芒的姑娘!她的美内外兼修,不刻意不浮躁,值得细细欣赏,也难怪能在赛场闪闪发光,让人一眼难忘。2.无论是动物还是我们人类,父母对子女的那份心都是一样的,真是 ... 奇闻怪事03-29
-
民间奇闻:女孩误入镜像时空门洞,选错一边后,亲人全都变了模样 在民间流传的各类奇闻轶事里,关于平行世界、时空缝隙的传说一直让人充满好奇。有人说,我们生活的世界之外,藏着不为人知的镜像空间,只有极少数人,能在机缘巧合之下撞见。下面这个故事,来自网友陈女士的亲身口述 ... 奇闻怪事03-22
-
世界之大无奇不有,十六张照片带你看不一样的奇闻趣事 在人类的世界里有一种现象很奇怪,当你以为自己见过足够多的震撼时,总会突然冒出来一个瞬间,让你意识到认知这东西经不起推一把,人和动物都一样,有些故事落点很轻,却能让人记很久 当你看到一只被困了半生的鸟重 ... 奇闻怪事03-21
相关文章
- 村里老人说:没人敢讲的乡村奇闻真实经历
- 滑稽笑星舒悦的五大奇闻异事
- 民间奇闻探秘,被老人讳莫如深的3个鬼传闻,藏着不为人知的真相
- 我在乡下做了十年道士,笔记里记下的那些奇闻异事
- 论当代社会奇闻趣事
- 下班摸鱼必看!3个最新奇闻,每一个都刷新认知
- 分享你身边的奇闻异事
- 2月9日离谱奇闻合集!件件笑到捶桌,第3个太绝了
- 中国近代5桩野史奇闻:大师搓麻、太监掌权、民间神医断头还生
- 杭州发生过哪些奇闻异事?
- 野史揭秘:那些被正史藏起来的奇闻怪事,古人到底有多“疯狂”?
- ~奇闻趣事
- “曹禺真会‘读书’假洗澡?古代名人奇闻趣事大揭秘!”
- 分享一些你知道的民间奇闻异事
- 奇闻怪事:广德某妇得孕产蛇!
- 历史上的奇闻异事:那些至今未解的神秘谜团,你知道几个?
- 全球奇闻趣事大集合:冷门知识一览
- 野史大揭秘:那些被正史藏起来的奇闻趣事,竟然比正史还精彩!
- 令人瞠目结舌!历史上最荒诞却真实的五件奇闻
- 你听过世界上有哪些奇闻异事吗
热门阅读
-
日本gv公司盘点,高质量钙片清秀型美攻美受 07-11
-
盘点中国十大龙现身事件,真龙竟然屡次现身震惊众人 06-27
-
戴旭说出马航失联真相,因为害怕承担责任迟迟不公开 07-05
