为取悦男友,德国女子花百万做2次断骨增高手术,结果怎么样了?
“如果能长高10厘米,我愿意用我的美貌来换。”
这是我一个朋友经常挂嘴边的话,他认为有很多方面是可以通过后天努力改变的,但唯独身高是“硬伤”,真的无能为力!
在这么一个人人都希望有大高个大长腿的时代,德国31岁的特雷西亚却因为自己1米8的身高而感到“羞耻”。
事实上,你很难想象,特雷西亚原本的身高只有1米6几,她做了2次手术,花了6年的时间,前前后后花费了超过128000英镑(117.2万人民币),才将身高增加了13.5厘米。
最关键的是,她选择的是非常危险的断骨增高术,2次手术后,她也很幸运,没有出现非常恶劣的后遗症。
幸运女神似乎非常眷顾她,她为何还会在公开场合表示自己因为身高而羞耻呢?是后悔了吗?
为了取悦丈夫选择增高手术
据《每日邮报》报道,特雷西亚是一名网红,近日她在网络上公开表明,她很后悔接受了增高手术,增高想法最早是由她前夫提出来的,她很羞愧,自己居然接受了这样一个荒唐的想法,并且也这么去做了。
当时他们刚刚结婚,婚后丈夫一直在特雷西亚面前强调自己喜欢“高个子”,并向特雷西亚科普了“断骨增高术”。
原本以为丈夫就是随口说说,开玩笑的,没想到在接下来的生活中,丈夫无时无刻都在P UA特雷西亚,大概意思就是:你不是我喜欢的大高个,并不完美,如果你离开我,你什么都不是。
这样的话说了几十次之后,渐渐地特雷西亚似乎被洗脑了,最终在24岁的时候,她接受了第一次断骨增高术,手术很成功,将双腿延长了3.3英寸。
然而,事情并没有这样结束,在丈夫的纠缠下,特雷西亚在2019年的时候,又进行了第二次手术,这一次双腿又延长了2.1英寸。
拥有大长腿的特雷西亚迅速在网络走红,收获了一大批粉丝,而她和丈夫的婚姻却走到了尽头,两人于第二次手术6个月后分居。
摆脱了前夫,现在的特雷西亚坦然接受增高后的自己。虽然增高手术吃了很多苦头,但是,至少效果是让自己满意和高兴的。
通过改变外形,特雷西亚也越来越自信,年少时她总被其他同龄人欺凌,如今也能坦然面对被欺凌的创伤。

断骨增高术
特雷西亚的成功,是不是意味着我们普通人也可以通过增高术来长高呢?我相信,你看完接下来的介绍,你再也不敢有这样的想法!
顾名思义,想要增高,要先断骨。这种手术理论上是可行的,实施起来风险非常大。
众所周知,到了一定年龄,我们的骨骼就不会再生长了。
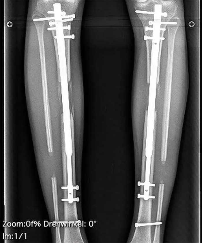
断骨增高术的原理就是:先将腿骨截断,然后对骨头给与一定的刺激,让骨细胞、肌肉和血管等组织不断生长,将断开的部分愈合起来,来达到骨骼延长的效果。
同样经历2次断骨增高术的布莱恩,详细描述了自己的手术经历:
第一次手术,他的胫骨和腓骨被打断,然后挖空了胫骨内部,取出骨髓,再将一根钢杆放入骨头内(可伸缩),用螺钉将其固定。最后还要用钉子将骨头和外部的仪器固定。
手术后需要坐在轮椅上,而且每天都要进行痛苦的腿骨分离训练。
每天,布莱恩都要用扳手旋转腿部的固定器4次,试图将断开的骨头一点点分开。据介绍,这样硬生生将骨头分开的旋转,10次才能增加0.5毫米。
康复的时间长短因人而异,布莱恩花了2个多月的时间做复健。12月份手术,2月份才拆除固定器,结果他长高了约三英寸。
他表示“这个过程最痛苦的就是睡觉,醒着的时候都还可以忍受,因为这是你自己的选择和追求,你不会放弃,你会忍,但晚上那种疼痛感让你根本无法睡眠,身体极度缺觉,心情也会很低落。”
2023 年 3 月,布莱恩进行了第二次手术,这一次他选择打断了大腿骨,又长高了三英寸。
2次手术,布莱恩花费了106,000 美元。
他坦言:“断骨增高术是一件非常疯狂的事情,极其昂贵、耗时、困难、痛苦,且风险很大,自己真的很幸运!”

断骨增高术安全吗?
看完这个过程,就能明白这个手术的风险是非常高的,在我们国家,这种手术是被禁止的。
断骨增高术其实并不是最近几年才有的,很早的时候就出现了,只是最开始这项技术是用来治疗疾病的,例如一些先天骨骼畸形、小儿麻痹症等等。
根据国家的相关规定,这种技术是不允许用于疾病以外的症状,如果纯粹是为了美,是不允许的。因为风险实在是太高了。
2019年,江苏的一个小伙子也尝试做了这个手术,结果手术失败,最终落得残疾,终身需要坐轮椅。
手术最大的风险就是要在骨头上放置钢钉,就有可能造成发炎、组织损伤等一系列症状。
手术后的康复也因人而异,有的人骨头长得快,肌肉、血液和神经这样的组织长得慢,就会出现损伤,导致瘫痪。
好不容易能站起来了,也有可能出现术后并发症。
总之,很多症状是难以预料的。

最后
其实,我认为,身高虽然是评价一个人的一项重要标准,但是人是一个复杂的个体,主要还是要看综合分的。
身高上的不足,还是可以用其他方面来弥补的。
尤其是现在社会越来越进步,无论是有趣的灵魂,还是好看的外表,都是可以被人们喜爱的。
至于断骨增高术,还是不要去尝试,用我奶奶的话来说:“老了有你受的!”
大家都在看
-
揭秘古代那些被历史遗忘的荒唐秘闻,笑到肚子疼的古代奇闻趣事 引子:历史的另一面——不一样的古代大家好!今天我们要翻开那尘封的古代史书,带你领略那些“正经”史书之外的“野史秘闻”。这里没有皇帝的高大上,也没有将军的威风凛凛,只有一些荒诞不经、令人啼笑皆非的奇闻趣 ... 奇闻怪事12-07
-
世界之大无奇不有,19张照片带你看不一样的奇闻趣事 电驴承重、角马反击、珍妮海报,三个词在同一页被刷到,很多人点开只是好奇,更多人关心背后的问题,一段电动车超载的视频提醒了安全,一段角马对狮子的回身让人叹气,一个旧电影片头的人物又被重新提起,这些看起来 ... 奇闻怪事11-28
-
奇闻,你听到过吗? 奇闻,你听到过吗?这年头遇事找律师本是求个公正靠谱,盼着靠专业力量化解难题,可偏偏有人撞上个离谱糟心事——遇上收钱不办事、最后直接玩失踪的无良律师,这般操作颠覆认知,属实让人咋舌。生活里难免有纠纷缠身 ... 奇闻怪事11-21
-
揭秘鲜为人知的历史秘闻:那些令人惊叹的奇闻趣事,你知道吗? 历史长河中藏着许多鲜为人知的秘密和趣味故事,等待我们去挖掘。今天,就让我们一同穿越时空,揭开那些令人惊叹的历史细节,带你领略不一样的古今奇闻。1. 拿破仑的“迷你”军队:隐藏在战场背后的秘密武器众所周知 ... 奇闻怪事11-20
-
国画秘史:那些令人咋舌的奇闻巧合 在浩如烟海、璀璨绚烂的国画世界里,不仅有艺术家们鬼斧神工般的精湛技艺和深邃幽远的思想表达,还隐匿着众多令人拍案称奇的巧合与动人心魄的奇闻异事。这些故事宛如历史长河中熠熠生辉的璀璨明珠,轻轻拂去岁月的尘 ... 奇闻怪事11-13
-
世界之大无奇不有,18张照片带你看不一样的奇闻趣事 1.美国内战时,一颗子弹正中士兵雅各布•米勒的眉心。子弹没有打穿米勒的脑袋,而是停留在他的额头。31年后,子弹从米勒的额头自动脱落。2.玛丽莲·梦露这个名字已经超越了演员的范畴,她成为某种文化符号的具象化存 ... 奇闻怪事11-10
-
世界之大无奇不有?20张照片带你看不一样的奇闻趣事 73%的假动作成功率,比任何羚羊都高——跳羚靠这招把狮子耍得原地打转。纳米比亚保护区刚放出的高速摄影里,它急刹时蹄子蹭地那声“呲啦”,像给捕食者按了暂停键,回声再一叠,狮子直接失去锁定。我盯着循环播放, ... 奇闻怪事11-07
-
世界之大无奇,16张照片带你看不一样的奇闻趣事 1.这块“钛水晶”可以说是金属届的孔雀,色彩一层层闪变,从蓝到金再到紫,像被宇宙染过色。美得像假的,偏偏真得耀眼2.这是索多玛苹果(Calotropis procera),外号“迷惑果”。汁液含剧毒乳胶,连动物都避而远之。 ... 奇闻怪事11-03
-
网上疯传的“乡村奇闻”,每一件都炸裂你的三观 现在刷短视频早成了全民日常,排队、通勤、睡前的碎片时间,大家总爱掏出手机划一划,既能打发时间,又能看看外面的世界。可这便捷背后,却藏着不少让人哭笑不得的现象:随着创作门槛降低、AI工具普及,越来越多人为 ... 奇闻怪事10-31
-
世界之大无奇不有,20张照片带你看不一样的奇闻趣事 跳羚的假动作成功率78%,不是靠运气,是靠“课后补习”。非洲草原的跳羚数量15%的涨幅,背后是一整套“补习班”机制:小跳羚先围观成年跳羚怎么“晃鳄鱼”,再自己上场练,练错了就挨鳄鱼一口,练对了就留下基因。科 ... 奇闻怪事10-29
相关文章
- 世界之大无奇不有,20张照片带你看不一样的奇闻趣事
- 以下是一些最近发生的奇闻趣事:
- 以下是一些最近的奇闻趣事:
- 关于汽车的奇闻异事
- 四篇古代奇闻:欲望与抉择背后的命运
- 揭秘唐朝五大野史趣闻:贵妃袜、放屁税、梦境预兆与民间奇闻
- 历史上的奇闻异事:探寻那些令人瞠目结舌的历史故事
- 世界之大无奇不有;带你看不一样的奇闻趣事
- 笑到肚子疼的民间趣事:那些让人忍不住爆笑的奇闻轶事
- 他赴美留学,却在学校边上惨遭杀害,留学生纪欣然案全复盘
- 古典奇闻小故事五则
- 五段历史奇闻,巧合如影随形,世界是否在重复轮回?
- 历史上5个真实发生的奇闻异事,每一个都颠覆认知,至今仍有谜团
- 古典奇闻小故事六则
- 古代奇闻故事五则
- 身边的奇闻趣谈:灵异、鬼故事与中元习俗
- 那些让人惊掉下巴的奇闻轶事
- 探秘古代人奇闻异事:那些超乎想象的趣事
- 现代奇闻:4 件怪事藏着不一般的暖与真
- 历史奇闻录:从明朝飞书到水下打火机,古人趣事知多少
热门阅读
-
日本gv公司盘点,高质量钙片清秀型美攻美受 07-11
-
盘点中国十大龙现身事件,真龙竟然屡次现身震惊众人 06-27
-
戴旭说出马航失联真相,因为害怕承担责任迟迟不公开 07-05
