世界之最网,最新世界之最排行榜,世界纪录大全!
首页 世界奇闻奇闻怪事

奇闻怪事文章推荐

奇闻怪事文章列表

  • 8个大自然奇特的怪事,最奇怪大自然现象

    8个大自然奇特的怪事,最奇怪大自然现象

    大自然充满了奇迹和奥秘-幸运的是,对于我们来说,离奇的事实!这是一个怪异事实清单,绝对不会成为我们最受欢迎的话题之一!希望您喜欢事实,如果您有其他需要补充的内容,请随时在评论中添加!8、奇迹老鼠 奇怪的 ...

    2023-11-6 09:46

    全文阅读

  • 输错血为什么很严重,海南第二附属医院输错血

    输错血为什么很严重,海南第二附属医院输错血

    (本文出自《知识就是力量》杂志《血液、血型与遗传》一文,作者:董良,原创作品,转载请注明出自知识就是力量微信公众号) 今天是世界献血日,为什么把献血来做为一个节日,其实目的是为了鼓励更多的人无偿献血, ...

    2023-11-6 09:25

    全文阅读

  • 蛇的灵性以及所谓的灵魂和灵异现象,灵性蛇

    蛇的灵性以及所谓的灵魂和灵异现象,灵性蛇

    我一直想写一篇蛇的文章,关于蛇的灵性,关于父亲灵魂的寄托,以及关于所谓的灵异。 我是那种看到蛇就浑身起鸡皮疙瘩的人。 人生中第一次惊悚于蛇的,是小时候的一个春天里,在粉粉的白色槐花怒放,香味溢满河岸的 ...

    2023-11-6 09:25

    全文阅读

  • 青未了我的祖辈

    青未了我的祖辈

    文/孙维青 祖母是个小脚女人,却不是纯粹的三寸金莲,祖母是在她八岁的时候随继母的到来开始裹脚的,虽说当时已经不提倡裹脚,祖母的继母还是怕大脚寻不上好婆家,狠心给祖母裹了脚,已经过了裹脚的最佳年龄,所以 ...

    2023-11-6 09:07

    全文阅读

  • 南京驴友误入海南无人区山林遇险危急时刻

    南京驴友误入海南无人区山林遇险危急时刻

    来源:海南日报 “谢谢你们冒险救了我, 感谢陵水海岸警察, 感谢海南人民……” 一名遇险者对前来救助的人连声道谢 10月5日 一名外省籍“探险者” 误闯陵水无人区山林 又遭遇暴雨,被困野外山林 陵水海岸警察 ...

    2023-11-6 08:50

    全文阅读

  • 毛主席离世后留下无声嘱托,真实病情,在25年后才对外公开

    毛主席的身体在晚年的时候可以说是非常艰辛的,虽然他年轻的时候也很注重锻炼,可由于他长时间的繁忙工作让他的身体也不堪重负,向他发出了报警信号。毛主席的日常饮食还有睡眠都不规律,这就导致他原本的肺炎情况加 ...

    2023-11-6 08:37

    全文阅读

  • 揭秘古埃及法老是外星人后裔?外星人样貌为基因突变(疾病)

    揭秘古埃及法老是外星人后裔?外星人样貌为基因突变(疾病)

    科学家对外星人真实存在的证据一直在进行探索,世界上十大外星人事件证实外星人真实存在。有人说人类死去就是外星人,还有人说古埃及法老是外星人后裔?考古学家发现的古埃及法老的尸骨跟正常人与众不同,反而跟外星 ...

    2023-11-6 08:19

    全文阅读

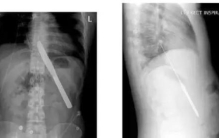
  • 04年云南26岁女子尿血发现体内有26根缝衣针医生1岁前扎的

    04年云南26岁女子尿血发现体内有26根缝衣针医生1岁前扎的

    2004年10月,在云南省第一人民医院发生了一件怪事,一个女人紧紧地抱着自己的丈夫,边哭边喊道“为什么我会遇到这样的事情?到底是谁这么狠心,给我扎了26针?” 人的生命是顽强的,26根针陪伴着罗翠芬26年时间,她 ...

    2023-11-6 08:04

    全文阅读

  • 2019年内蒙古一女厨师遇害监控竟然记录了整个过程

    2019年内蒙古一女厨师遇害监控竟然记录了整个过程

    大家好,欢迎来到奇闻调查班。2019年11月12日下午,内蒙古赤峰市林西县120接到了急救电话,位于大营子乡的一个搅拌站内有人受伤。急救车到达现场后发现一名女子倒在门厅已经没有了呼吸和心跳,心脏附近被人刺伤的伤 ...

    2023-11-6 07:34

    全文阅读

  • 为什么人死了身体会腐烂,人活着的时候为什么不会腐烂

    为什么人死了身体会腐烂,人活着的时候为什么不会腐烂

    生老病死,人之常态,基本上任何一种生物都会经历。 落叶的归宿是,化作春泥更护花。而人死后,尸体会慢慢腐烂,最终剩下一具白骨。 但是你有没有想过为什么人在死后会腐烂,而活着的时候却不会呢? 不看完还真不知 ...

    2023-11-6 07:19

    全文阅读

  • 张紫妍韩国事件第几部张紫妍生前禁片电影曝光

    张紫妍韩国事件第几部张紫妍生前禁片电影曝光

    张紫妍韩国事件第几部:张紫妍生前禁片电影曝光(图)韩国女星张紫妍因为不堪折磨自杀了,是韩国演艺圈悲惨事件中的一员,张紫妍事件的背后据说是强迫她提供性服务的经纪人,张紫妍生前禁片也被网友扒出来,尺度之大令 ...

    2023-11-6 07:02

    全文阅读

  • 劳斯莱斯最贵的一款劳斯莱斯银魅,劳斯莱斯银魅是最贵的车吗

    劳斯莱斯最贵的一款劳斯莱斯银魅,劳斯莱斯银魅是最贵的车吗

    在许多介绍全球最贵的车文章中,都把劳斯莱斯银魅作为全球最贵的车的南波湾。 对于百度百科关于劳斯莱斯“银魅”(Rolls-Royce Silver Ghost)的介绍,有两种解释,第一种是指劳斯莱斯在1906到1926年间生产的40/50H ...

    2023-11-6 06:30

    全文阅读

  • 奇闻趣事地球像台球一样圆

    奇闻趣事地球像台球一样圆

    今天来讨论一些奇闻趣事,之前在网络上看到一个说法:"地球比台球还光滑。" "尽管在全球范围内,局部地形偏离了理想的球体面,但这些偏差非常小:地球相对于其参考球体的公差约为1/584,即0.17%,小于台球0.22%的 ...

    2023-11-6 06:16

    全文阅读

  • 猫咪恨你的十种表现,猫咪爱你的十二个表现

    猫咪恨你的十种表现,猫咪爱你的十二个表现

    猫咪是个有感情的动物,虽然大多数对主人爱答不理,但内心还是喜欢主人的。但是倘若猫咪有这些表现,是真的“恨你入骨”,主人别不明白。 1、对外人亲近,对你陌生 按道理,猫咪对陌生人是比较警惕的,甚至一看到陌 ...

    2023-11-6 06:00

    全文阅读

  • 50万年前的汽车火花塞,二十年前的火花塞

    50万年前的汽车火花塞,二十年前的火花塞

    历史总是会给人很多惊喜,尤其在考古界,动不动就会有无数的奇迹等待着我们去挖掘,从考古出土的文物中,我们可以看到很多祖先的智慧结晶,有一些现代的技术都无法解释,比如三星堆遗址中的精美青铜器,古代壁画中的 ...

    2023-11-6 05:44

    全文阅读