当前治疗肺结核的主要方法是什么,肺结核免费治疗
肺结核在古代叫肺痨,是一种传染性、致死性很强的病,不过随着时代的发展,医学的进步,肺结核的死亡率已经很低了。
不过,任何疾病都是这样,即使很轻,也会死人,比如感冒、阑尾炎这样的病,也有死人的时候。

肺结核的原发综合征
一、肺结核的细菌特点:①细长弯曲两头圆形的杆菌,呈T、V、Y字形、棒状等多种形态。
②抗酸性:抗酸染色呈红色。
③对酸碱干燥冷抵抗力强,紫外线敏感,太阳直射2-7小时被杀死。
④类脂质(蜡质)引起空洞、蛋白变态反应、多糖参与免疫应答。
⑤主要经呼吸道传播,免疫低下人群易感。
⑥CD4 T细胞参与其中(结节病是CD8 T细胞)
二、肺结核的分类:1.原发性肺结核:原发综合征(原发灶、肺门淋巴结结核、淋巴管炎)
2.血行播散型肺结核:急性粟粒性肺结核,全肺均一结节(最严重)
3.继发性肺结核:
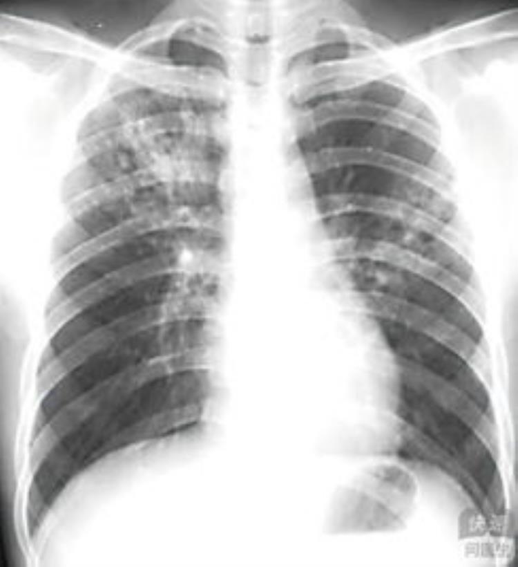
①浸润性肺结核:小斑片影、肺尖空洞(最常见)
②空洞性肺结核:空洞形态不一、虫蚀样空洞薄壁空洞
③纤维空洞性肺结核:厚壁空洞
④结核球:卫星灶
⑤干酪性肺炎:大叶肺炎磨玻璃影、虫蚀空洞。

原发性与继发性肺结核的鉴别点
三、肺结核的诊断手段:
X线:常规首选方法;
CT:病变细微特征的评价
痰涂片:简单易行,敏感性不高,但意义很大。
结核菌培养:诊断金标准,2-8周出结果,临床少用。(几乎是为一个有金标准而很少用的病)
支气管镜:组织活检
PPD实验:检出感染,而非检出疾病。
γ-干扰素释放试验:特异性高于PPD。
四、肺结核的治疗

肺结核药物治疗及特点
强化/巩固
①初治涂阳涂阴:顿服:2HRZE/4HR;
(隔日一次或每周3次)2H3R3Z3E3/4H3R3;
②复治涂阳:顿服:2HRZSE/4HR;
隔日方案:2H3R3Z3S3E3/4H3R3E3
③多耐:强化期9-12月,总疗程20个月(宜长不宜短)
(执业医师考试重点:原发与继发肺结核的鉴别、继发性肺结核各种类型的空洞鉴别、结核的确诊工具意义、药物治疗的副作用及方案)
#心健康信科普##谣零零计划##宅家涨知识#

肺结核的成因及治疗方法
结核病是由结核杆菌引起的慢性传染病,可累及全身多个器官,但以肺结核最为常见。本病病理特点是结核结节和干酷坏死,易形成空洞。临床上多呈慢性过程,少数可急起发病。常有低热、乏力等全身症状和咳嗽、咯血等呼吸系统表现。
结核俗称“痨病”,是结核杆菌侵入体内引起的感染,是青年人容易发生的一种慢性和缓发的传染病。一年四季都可以发病,15岁到35岁的青少年是结核病的高发峰年龄。潜伏期4~8周。其中80%发生在肺部,其他部位(颈淋巴、脑膜、腹膜、肠、皮肤、骨骼)也可继发感染。主要经呼吸道传播,传染源是接触排菌的肺结核患者。解放后人们的生活水平不断提高,结核已基本控制,但近年来,随着环境污染和艾滋病的传播,结核病又卷土重来,发病率欲演欲烈。
主要是化学药物治疗,常用的药物有异烟肼、利福平、链霉素、吡嗪酰晦、乙胺丁醇和氨硫脲。应用化疗应遵照以下 5 条原则:①早期。一旦确诊立即用药;②联用 。联合应用2种或2种以上抗结核药物以保证疗效和防止产生耐药性,减少毒副作用;③适量。④规律。切忌遗漏和中断 ;⑤全程。一般均需服药一年以上方可停药。

肺结核的症状及治疗
早期症状往往不明显,但有以下征候可怀疑:①周身无力,疲倦,发懒,不愿活动。
②手足发热,不思饮食,白天有低烧,下午面颊潮红,夜间有盗汗。
③发烧,体力下降,双肩酸痛,女性月经不调或闭经。
④经常咳嗽,但痰却不多,有时痰中带有血丝。
⑤大量咯血,胸背疼痛。
⑥高热。
凡有①-④项能对得上号者,应及时检查,可能是初期患病,只要抓紧治疗可很快好转;凡有⑤-⑥项对得上号者,病情已较重,应去医院确诊,抓紧诊治
;有发烧咳嗽者,应与慢性支气管炎加以区别;有咳嗽、咳痰、咯血者,应与支气管扩张加以区别;有发烧、咳嗽者,应与肺炎加以区别。
治疗肺结核的药物主要有雷米封(又称异烟肼)、链霉素、利福平和乙胺丁醇等,应根据病情,由医生指导用药。已被确诊为肺结核的患者,除了坚持治疗外,还要注意休息,增加营养,保持乐观情绪,适当加强体育锻炼,以增强抵抗能力。
大家都在看
-
古代奇闻小故事四则 一只老鳖游回来,把恩人顶出水面,这事儿听着像聊斋,却同时发生在1632年的福建和2023年的泰国。 时间跨度四百年,地理跨度两千公里,两个故事几乎逐帧重合——放生、落水、回头、托举。 动物行为学家今年给出的解释 ... 奇闻怪事12-13
-
揭秘古代那些被历史遗忘的荒唐秘闻,笑到肚子疼的古代奇闻趣事 引子:历史的另一面——不一样的古代大家好!今天我们要翻开那尘封的古代史书,带你领略那些“正经”史书之外的“野史秘闻”。这里没有皇帝的高大上,也没有将军的威风凛凛,只有一些荒诞不经、令人啼笑皆非的奇闻趣 ... 奇闻怪事12-07
-
世界之大无奇不有,19张照片带你看不一样的奇闻趣事 电驴承重、角马反击、珍妮海报,三个词在同一页被刷到,很多人点开只是好奇,更多人关心背后的问题,一段电动车超载的视频提醒了安全,一段角马对狮子的回身让人叹气,一个旧电影片头的人物又被重新提起,这些看起来 ... 奇闻怪事11-28
-
奇闻,你听到过吗? 奇闻,你听到过吗?这年头遇事找律师本是求个公正靠谱,盼着靠专业力量化解难题,可偏偏有人撞上个离谱糟心事——遇上收钱不办事、最后直接玩失踪的无良律师,这般操作颠覆认知,属实让人咋舌。生活里难免有纠纷缠身 ... 奇闻怪事11-21
-
揭秘鲜为人知的历史秘闻:那些令人惊叹的奇闻趣事,你知道吗? 历史长河中藏着许多鲜为人知的秘密和趣味故事,等待我们去挖掘。今天,就让我们一同穿越时空,揭开那些令人惊叹的历史细节,带你领略不一样的古今奇闻。1. 拿破仑的“迷你”军队:隐藏在战场背后的秘密武器众所周知 ... 奇闻怪事11-20
-
国画秘史:那些令人咋舌的奇闻巧合 在浩如烟海、璀璨绚烂的国画世界里,不仅有艺术家们鬼斧神工般的精湛技艺和深邃幽远的思想表达,还隐匿着众多令人拍案称奇的巧合与动人心魄的奇闻异事。这些故事宛如历史长河中熠熠生辉的璀璨明珠,轻轻拂去岁月的尘 ... 奇闻怪事11-13
-
世界之大无奇不有,18张照片带你看不一样的奇闻趣事 1.美国内战时,一颗子弹正中士兵雅各布•米勒的眉心。子弹没有打穿米勒的脑袋,而是停留在他的额头。31年后,子弹从米勒的额头自动脱落。2.玛丽莲·梦露这个名字已经超越了演员的范畴,她成为某种文化符号的具象化存 ... 奇闻怪事11-10
-
世界之大无奇不有?20张照片带你看不一样的奇闻趣事 73%的假动作成功率,比任何羚羊都高——跳羚靠这招把狮子耍得原地打转。纳米比亚保护区刚放出的高速摄影里,它急刹时蹄子蹭地那声“呲啦”,像给捕食者按了暂停键,回声再一叠,狮子直接失去锁定。我盯着循环播放, ... 奇闻怪事11-07
-
世界之大无奇,16张照片带你看不一样的奇闻趣事 1.这块“钛水晶”可以说是金属届的孔雀,色彩一层层闪变,从蓝到金再到紫,像被宇宙染过色。美得像假的,偏偏真得耀眼2.这是索多玛苹果(Calotropis procera),外号“迷惑果”。汁液含剧毒乳胶,连动物都避而远之。 ... 奇闻怪事11-03
-
网上疯传的“乡村奇闻”,每一件都炸裂你的三观 现在刷短视频早成了全民日常,排队、通勤、睡前的碎片时间,大家总爱掏出手机划一划,既能打发时间,又能看看外面的世界。可这便捷背后,却藏着不少让人哭笑不得的现象:随着创作门槛降低、AI工具普及,越来越多人为 ... 奇闻怪事10-31
相关文章
- 世界之大无奇不有?20张照片带你看不一样的奇闻趣事
- 世界之大无奇,16张照片带你看不一样的奇闻趣事
- 网上疯传的“乡村奇闻”,每一件都炸裂你的三观
- 世界之大无奇不有,20张照片带你看不一样的奇闻趣事
- 以下是一些最近发生的奇闻趣事:
- 以下是一些最近的奇闻趣事:
- 关于汽车的奇闻异事
- 四篇古代奇闻:欲望与抉择背后的命运
- 揭秘唐朝五大野史趣闻:贵妃袜、放屁税、梦境预兆与民间奇闻
- 历史上的奇闻异事:探寻那些令人瞠目结舌的历史故事
- 世界之大无奇不有;带你看不一样的奇闻趣事
- 笑到肚子疼的民间趣事:那些让人忍不住爆笑的奇闻轶事
- 他赴美留学,却在学校边上惨遭杀害,留学生纪欣然案全复盘
- 古典奇闻小故事五则
- 五段历史奇闻,巧合如影随形,世界是否在重复轮回?
- 历史上5个真实发生的奇闻异事,每一个都颠覆认知,至今仍有谜团
- 古典奇闻小故事六则
- 古代奇闻故事五则
- 身边的奇闻趣谈:灵异、鬼故事与中元习俗
- 那些让人惊掉下巴的奇闻轶事
热门阅读
-
日本gv公司盘点,高质量钙片清秀型美攻美受 07-11
-
盘点中国十大龙现身事件,真龙竟然屡次现身震惊众人 06-27
-
戴旭说出马航失联真相,因为害怕承担责任迟迟不公开 07-05
