世界上胸最大的女人是谁 安妮·霍金斯特纳(胸重达77斤)
每一位女性都想拥有高耸的胸部,并且如果胸型好看,在穿衣服的时候看起来身材也非常好,有些女性胸部扁平,所以就想到要去做丰胸手术,这样就能够达到美丽的效果,其实丰胸手术对于女性来讲有一定的伤害,并且还会留下很多的后遗症。其实在世界上也有天生的胸部,非常大的女性胸部的重量能够达到77斤,的确是非常的惊人。
一、世界上胸最大的女人是哪里人

世界上胸最大的女人来自于美国,名字叫做安妮·霍金斯特纳,胸部逆天的生长达到了77斤,目前一直是世界记录的第一名。按照胸围的尺寸来讲,胸部已经有102ZZZ,这么大的胸,在全球没有任何一个女性能够超越。

在网络上经常会看到安妮的图片,的确这么大的胸部看起来非常吓人。有的人说安妮的胸部应该是天生就长成这样,有的人说安妮可能是吃了一些含有激素的东西,所以胸部才会疯狂的生长。在网络上有各种各样的说法,但是不管怎样,安妮都是世界记录的第一名。

安妮长着巨大的胸部,对于自己的生活来讲也非常不方便,尤其是在买衣服的时候,没有哪一件衣服能够包裹住巨大的胸部,所以只能穿特制的衣服。即使是这样,安妮对于自己的胸部还是感觉到非常的骄傲。
二、让胸部成为世界最大怎么做到

曾经有记者采访过安妮,想知道安妮的胸部为什么会长得这么大,其实安妮在以前是一个演员,在自己20岁的时候就想要一个非常好的身材,所以就进行了隆胸手术。刚开始自己的胸部达到181X罩杯,一侧乳房重量已经达到12公斤。

但是渐渐的发现乳房一直在疯涨,可能与自己平时吃东西有很大的关系,很多人都知道吃木瓜能够丰胸,并且对皮肤也非常好。尤其是在美国,女性都很注意保养,并且吃东西也很注意营养,所以安妮经常会吃一些对皮肤好的食物。
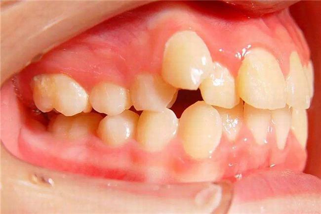
正常人的牙齿数量为32颗,儿童的牙齿数量会少一些,但是随着生长发育,慢慢的牙齿也会长全。牙齿非常的重要,牙齿能够撕裂食物,也能够磨碎食物,在说话的时候,牙齿密闭能够发出声音。在世界上有一种生物,它的牙齿非常多,一共有两万多颗,但是在世界上还有牙齿更多的人,就是一个小男孩,一共有将近600颗牙。
一、世界上牙齿最多的人拔牙过程

拥有526颗多余牙齿的男孩来自于印度,在三岁的时候就发现自己的下额骨有些肿胀,并且非常的不舒服。这个小男孩的父母并没有在意,因为孩子正处于生长发育期。但是从四岁之后发现孩子的肿胀情况越来越严重,一直到七岁的时候才带孩子检查。

到了医院之后,医生经过仔细的检查,发现这个孩子的下巴有肿块,并且非常的硬。通过拍片才知道这里面一共有数百个牙齿,五块的大小整体是5cm长,3cm宽,于是医生决定应该为孩子进行手术。

医生经过了五个小时的时间,才将526颗牙齿取出。除去一个人该有的32颗牙齿,这个孩子一共多涨了526颗牙,的确,孩子的脸部肿胀就是因为这些牙齿所引起。按照医学来讲,其实男孩儿的口腔里有口腔肿瘤,所以会引起牙齿疯长。

对于这种情况到目前为止世界上也无法给予准确的解释,因为每个人的体质不同,所以也会出现不同的情况。一共526颗多余的牙齿,真的很惊人,有点像怪物。牙齿是人比较重要的一个器官,正常要保持32颗,多了就会起到副作用。
二、牙齿太多的烦恼

牙齿多会引起病变,还会带来生活的不便,牙齿多,吃东西会有疼痛感,并且在吃东西的时候会咬到自己的舌头。所以大小自己的牙齿如果出现问题,应该及时到医院进行治疗,不要拖延,要避免出现病变的可能。
大家都在看
-
什么面相是倒霉相(眉毛杂乱无章) 眉毛杂乱无章、眉毛长度不足、牙齿突出。面相学中,人的面相被认为与他们的命运和性格有着密切的联系。这些面相往往被视为倒霉相的一种特征。1. 眉毛杂乱无章 眉毛杂乱无章、断断续续、眉尾稀疏的面相被认为是不吉之 ... 世界百科08-19
-
没有人情味的人特征是什么(面容冷漠) 人的面相往往能够反映出内在的性格特征和外在的气质。在面相学中,一些特定的面相特征可能暗示着一个人缺乏人情味,表现出一种冷漠、刻板或自我中心的态度。1、面容冷漠 缺乏人情味的人的面容往往显得冷漠,缺乏表情 ... 世界百科08-19
-
面相里山根有疤痕代表什么(身体可能存在问题) 在面相学中,山根的状况被认为可以反映一个人的健康状况和性格特征。尤其是当山根出现疤痕时,可能提示着一些潜在的身体问题,并对个人的性格产生一定影响。一、山根有疤痕的基本特征 山根位于鼻梁和额部的连接处, ... 世界百科08-19
-
额头高的人好吗(取决个人的整体素质和品格) 额头高的人并不一定就好或者不好,这取决于个人的整体素质和品格。额头的高低往往被认为与个人的外貌、智力、性格以及职业选择等方面有关。然而,这个问题并没有一个简单的答案,因为人的价值和优点不应该被单一的生 ... 世界百科08-19
-
身上哪些地方有痣容易二婚(眼角长痣) 在中国传统的面相学中,痣相被认为是影响一个人命运的重要因素之一。人体上的痣,根据其位置和颜色的不同,被赋予了各种各样的象征意义。在众多的痣相解读中,眼角长痣被认为可能预示着感情的波折甚至是婚姻的变故。 ... 世界百科08-19
-
有哪些面相特征的男人以后没前途了(塌鼻子) 塌鼻子、眼神游离、天仓凹陷等面相特征,往往暗示着一个男人可能面临事业发展的困境和前途的不确定性。在中国社会中,男主外女主内的思想根深蒂固。虽然随着社会进步,女性也取得了一定程度的独立和权利,但男性仍然 ... 世界百科08-19
-
什么面相特征的人没出息 (奸门长痣) 奸门长痣,作为面相学中的一种不吉利特征,常被认为是预示个人命运和性格走向的一种象征。这种面相特征往往暗示着个人在性格和事业上存在着一系列的不利因素,从而影响其未来的发展和成就。 1、拥有奸门长痣的人往往 ... 世界百科08-19
-
有什么面相特征的人容易得理不饶人(剑锋鼻) 容易得理不饶人的面相特征是剑锋鼻、人中短、颧骨高等。在面相学中,人的面相往往能反映出其性格和命运。1、剑锋鼻 在相学中,鼻子被认为是一个人性格、脾气和自尊心的象征。而其中一种特殊的面相特征被称为“剑锋鼻 ... 世界百科08-19
-
有什么面相特征的人处事极端(额头窄) 面相在中国文化中一直被视为一种能够揭示个人性格、命运的重要方式。其中,额头的形态被认为与个人的智慧、心智以及处事方式密切相关。在面相学中,额头窄被视为一种不吉利的特征,暗示着个人可能存在极端的处事方式 ... 世界百科08-19
-
男人长连心眉好不好(好) 在传统面相学中,连心眉被视为一种独特且具有深刻象征意义的面部特征。所谓的连心眉,指的是眉毛之间没有明显的间隔,形成一条连续的线条,有时甚至呈现出自然生长的细长弧线。这种特征在男性面相中被认为是一种积极 ... 世界百科08-19
相关文章
- 心术不正的人面相有什么特征(嘴歪)
- 啥面相的女人是贵妇命(田宅宫饱满开阔)
- 哪些面相特征的女人天生情命薄 (眉毛很粗)
- 哪些面相中年运势好(颧骨微凸)
- 中国有名的师范类大学排名前十 中国笨笨双一流师范大学(北京师范大学)
- 什么床最环保没甲醛
- 铺木地板下面垫的是什么材料
- 冰箱漏氟怎么办还有必要修吗
- 洗衣机洗一次衣服用多少水
- 燃气灶电池是几号用几节
- 双人被一般是多大尺寸
- 灯泡一闪一闪是什么原因
- 婚礼宴席多少钱一桌(婚礼宴席几个菜合适)
- 豹龟好养吗,幼豹切忌干养
- 大树的作用有哪些?
- 自来水一般几个压力(水压过低如何解决)
- 多用插座怎么接线方法呢
- 空调缺氟的影响,空调缺氟制热受影响吗
- 不锈钢碗可以放微波炉加热吗
- 锡纸碗可以放微波炉加热吗
热门阅读
-
最真实的女人私长处啥样图片,擦下口水禁止幻想 07-12
-
推荐十部经典一女多男肉文,腐女们最爱的小说 07-12
-
推荐10本高质量肉文,有肉有情节(真的很经典) 07-12
-
经典的纯肉文小说推荐,亲密接触也能如此妖娆 07-12
-
十本经典的兄妹肉文推荐,兄妹情有肉无虐点 07-12
-
揭秘ktv包房公主潜规则,她们也是有尊严的 07-12
-
10个老司机才懂的污段子,如若秒懂必定老司机无疑 07-12
