世界上规模最大的战争 二战,61个国家地区卷入其中
世界上规模最大的战争就是二战,战争的规模从欧洲一直延续到亚洲,并且从太平洋一直延续到大西洋,先后经过了61个国家以及地区并且有21亿的人被卷入这场战争,所占的面积能够达到2200万千米。战争都会造成人员的伤亡,这次战争也不例外,因为有九千多人死于这场战争中,并且还有五万多的美元被付诸东流。
一、二战战争背景

第二次世界大战背景比较复杂,第一是日本侵华,在1931年的时候,日本就已经发动了事变,并且占领了中国的东北,同时在世界也形成了一个战争的起源。中国当时向国外提出求助,但是有很多国家并没有回应,所以当时处于动荡的局势,慢慢的二战浮出了水面。

意大利攻打埃塞俄比亚的时候是在1929年,这时对意大利的冲击也比较大,意大利的领土被占领,并且经济也受到了打压,没有其他国家的帮助,所以意大利处于下风。但是意大利卖出自己国家的土地而得到了帮助,这样埃塞俄比亚最终沦陷。

1936年的时候,西班牙发生了内战,这场内战造成了很多人口的死亡,是由于两个首领互相争夺权利并且要争夺领土,所以造成了很大的牺牲。但是渐渐的英国和法国达成了协议,把矛头指向了苏联,从而开启了新的一轮战争,这样也促使了二战的发生。
二、二战引起的经济危机

二战的发生带来了很严重的经济危机,在1929年的时候,美国的股市出现崩盘的情况,全球的经济都受到了影响。在1922年的时候,由于法西斯本人的独裁,意大利也出现了经济动荡,所以不仅仅是国家内部的动乱,还严重影响到了国际。

日本发动了二二六事变,投入了很多的资金,部队的实力得到了提高,但是同时也会有所损失,日本本身不算是一个很大的国家,人口也比较少,经济实力与其他的大国相比,非常逊色,所以日本经常会挑衅其他的国家,主要是为了占领土地并且得到经济利益。
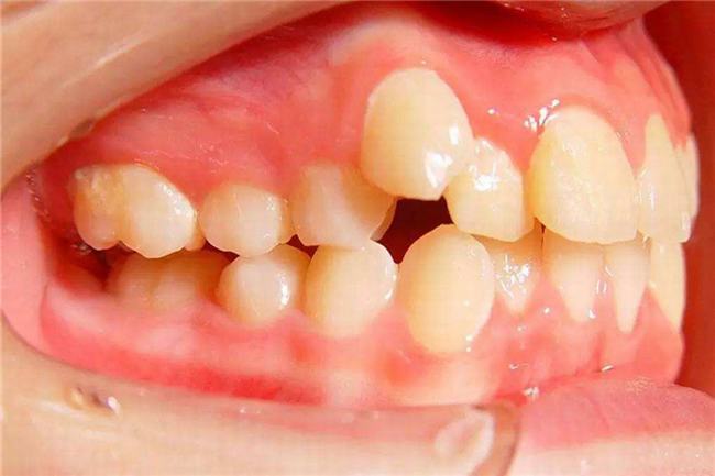
有世界上门牙最大的人是来自于加拿大的九岁男孩,这个孩子的门牙特别大,所以荣登吉尼斯。门牙就像是代表着一个人的形象,拥有整齐的牙齿,能够让人很有信心。所以有很多人门牙不整齐,或者所以牙齿不白,回去做烤瓷贴片。但只能维持一时,不能很长久,还是要从小爱护自己的事牙齿,才能让自己的牙齿更好。
一、马克亨利牙齿的尺寸

在加拿大有一个小孩子今年刚刚九岁,名字叫做马克亨利,小家伙的牙齿非常大,牙齿长度达到2.28厘米,宽度达到2cm,其实正常人的门牙尺寸应该在一厘米,而这个孩子的门牙比其他人要大出很多,大小与马的牙齿尺寸非常相似,在嘴唇外面给人感觉格格不入。

每个人都想有非常整齐的牙齿,即使是牙齿上有一些小瑕疵也会进行矫正,能够达到整齐的效果。如果门牙的尺寸特别大,并且非常的另类,那么应该及时的进行治疗,并且要趁早进行治疗。人的年龄越大,那么对于牙齿的矫正会越吃力。

门牙对一个人来讲非常重要,不仅仅关系到一个人的美观,同时也关系到应用。门牙主要负责来切食物,并且门牙也非常锋利,在切东西的时候会很整齐,虽然不能切碎,特别坚硬的食物,但是对于一般的食物来讲,入口前首先要经历门牙这一关。
二、马克亨利因为大牙齿而自卑

其实大门牙给马克亨利的生活带来了很多的不方便,这样的门牙经常会让马克亨利感觉到自卑,不敢与别人交流,因为一旦说话就会漏出自己的大门牙,即使是笑的时候也会小心翼翼,害怕大门牙漏出来被别人笑话。

前不久马克亨利已经将自己的大门牙拔掉,再也没有尴尬的困扰了。现在可以开开心心的大笑,也愿意与其他人交流。看来门牙这的会影响到一个人的生活,相信每个人都会非常在意一斤门牙的情况,但医学的发达,一般小问题都能解决。
大家都在看
-
什么面相是倒霉相(眉毛杂乱无章) 眉毛杂乱无章、眉毛长度不足、牙齿突出。面相学中,人的面相被认为与他们的命运和性格有着密切的联系。这些面相往往被视为倒霉相的一种特征。1. 眉毛杂乱无章 眉毛杂乱无章、断断续续、眉尾稀疏的面相被认为是不吉之 ... 世界百科08-19
-
没有人情味的人特征是什么(面容冷漠) 人的面相往往能够反映出内在的性格特征和外在的气质。在面相学中,一些特定的面相特征可能暗示着一个人缺乏人情味,表现出一种冷漠、刻板或自我中心的态度。1、面容冷漠 缺乏人情味的人的面容往往显得冷漠,缺乏表情 ... 世界百科08-19
-
面相里山根有疤痕代表什么(身体可能存在问题) 在面相学中,山根的状况被认为可以反映一个人的健康状况和性格特征。尤其是当山根出现疤痕时,可能提示着一些潜在的身体问题,并对个人的性格产生一定影响。一、山根有疤痕的基本特征 山根位于鼻梁和额部的连接处, ... 世界百科08-19
-
额头高的人好吗(取决个人的整体素质和品格) 额头高的人并不一定就好或者不好,这取决于个人的整体素质和品格。额头的高低往往被认为与个人的外貌、智力、性格以及职业选择等方面有关。然而,这个问题并没有一个简单的答案,因为人的价值和优点不应该被单一的生 ... 世界百科08-19
-
身上哪些地方有痣容易二婚(眼角长痣) 在中国传统的面相学中,痣相被认为是影响一个人命运的重要因素之一。人体上的痣,根据其位置和颜色的不同,被赋予了各种各样的象征意义。在众多的痣相解读中,眼角长痣被认为可能预示着感情的波折甚至是婚姻的变故。 ... 世界百科08-19
-
有哪些面相特征的男人以后没前途了(塌鼻子) 塌鼻子、眼神游离、天仓凹陷等面相特征,往往暗示着一个男人可能面临事业发展的困境和前途的不确定性。在中国社会中,男主外女主内的思想根深蒂固。虽然随着社会进步,女性也取得了一定程度的独立和权利,但男性仍然 ... 世界百科08-19
-
什么面相特征的人没出息 (奸门长痣) 奸门长痣,作为面相学中的一种不吉利特征,常被认为是预示个人命运和性格走向的一种象征。这种面相特征往往暗示着个人在性格和事业上存在着一系列的不利因素,从而影响其未来的发展和成就。 1、拥有奸门长痣的人往往 ... 世界百科08-19
-
有什么面相特征的人容易得理不饶人(剑锋鼻) 容易得理不饶人的面相特征是剑锋鼻、人中短、颧骨高等。在面相学中,人的面相往往能反映出其性格和命运。1、剑锋鼻 在相学中,鼻子被认为是一个人性格、脾气和自尊心的象征。而其中一种特殊的面相特征被称为“剑锋鼻 ... 世界百科08-19
-
有什么面相特征的人处事极端(额头窄) 面相在中国文化中一直被视为一种能够揭示个人性格、命运的重要方式。其中,额头的形态被认为与个人的智慧、心智以及处事方式密切相关。在面相学中,额头窄被视为一种不吉利的特征,暗示着个人可能存在极端的处事方式 ... 世界百科08-19
-
男人长连心眉好不好(好) 在传统面相学中,连心眉被视为一种独特且具有深刻象征意义的面部特征。所谓的连心眉,指的是眉毛之间没有明显的间隔,形成一条连续的线条,有时甚至呈现出自然生长的细长弧线。这种特征在男性面相中被认为是一种积极 ... 世界百科08-19
相关文章
- 心术不正的人面相有什么特征(嘴歪)
- 啥面相的女人是贵妇命(田宅宫饱满开阔)
- 哪些面相特征的女人天生情命薄 (眉毛很粗)
- 哪些面相中年运势好(颧骨微凸)
- 中国有名的师范类大学排名前十 中国笨笨双一流师范大学(北京师范大学)
- 什么床最环保没甲醛
- 铺木地板下面垫的是什么材料
- 冰箱漏氟怎么办还有必要修吗
- 洗衣机洗一次衣服用多少水
- 燃气灶电池是几号用几节
- 双人被一般是多大尺寸
- 灯泡一闪一闪是什么原因
- 婚礼宴席多少钱一桌(婚礼宴席几个菜合适)
- 豹龟好养吗,幼豹切忌干养
- 大树的作用有哪些?
- 自来水一般几个压力(水压过低如何解决)
- 多用插座怎么接线方法呢
- 空调缺氟的影响,空调缺氟制热受影响吗
- 不锈钢碗可以放微波炉加热吗
- 锡纸碗可以放微波炉加热吗
热门阅读
-
最真实的女人私长处啥样图片,擦下口水禁止幻想 07-12
-
推荐十部经典一女多男肉文,腐女们最爱的小说 07-12
-
推荐10本高质量肉文,有肉有情节(真的很经典) 07-12
-
经典的纯肉文小说推荐,亲密接触也能如此妖娆 07-12
-
十本经典的兄妹肉文推荐,兄妹情有肉无虐点 07-12
-
揭秘ktv包房公主潜规则,她们也是有尊严的 07-12
-
10个老司机才懂的污段子,如若秒懂必定老司机无疑 07-12
