怎么知道自己会不会长智齿(长智齿脸都肿了)
平时注意自己口腔的情况,长智齿,萌发处的的牙龈可能红肿,还有可能会伴有疼痛。发现这些情况可以找医生看看,如果是长智齿医生应该会发现的。
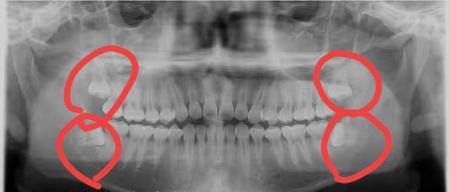
有龋齿或者其它口腔牙周问题去看牙医,也可以自己注意一下检查时拍的x光片。
数一数看到的牙根,如果牙列超过28颗,那就是有智齿。
即使智齿还没有开始长,藏在牙骨里,一样能看到牙胚。

大家都在看
-
什么面相是倒霉相(眉毛杂乱无章) 眉毛杂乱无章、眉毛长度不足、牙齿突出。面相学中,人的面相被认为与他们的命运和性格有着密切的联系。这些面相往往被视为倒霉相的一种特征。1. 眉毛杂乱无章 眉毛杂乱无章、断断续续、眉尾稀疏的面相被认为是不吉之 ... 世界百科08-19
-
没有人情味的人特征是什么(面容冷漠) 人的面相往往能够反映出内在的性格特征和外在的气质。在面相学中,一些特定的面相特征可能暗示着一个人缺乏人情味,表现出一种冷漠、刻板或自我中心的态度。1、面容冷漠 缺乏人情味的人的面容往往显得冷漠,缺乏表情 ... 世界百科08-19
-
面相里山根有疤痕代表什么(身体可能存在问题) 在面相学中,山根的状况被认为可以反映一个人的健康状况和性格特征。尤其是当山根出现疤痕时,可能提示着一些潜在的身体问题,并对个人的性格产生一定影响。一、山根有疤痕的基本特征 山根位于鼻梁和额部的连接处, ... 世界百科08-19
-
额头高的人好吗(取决个人的整体素质和品格) 额头高的人并不一定就好或者不好,这取决于个人的整体素质和品格。额头的高低往往被认为与个人的外貌、智力、性格以及职业选择等方面有关。然而,这个问题并没有一个简单的答案,因为人的价值和优点不应该被单一的生 ... 世界百科08-19
-
身上哪些地方有痣容易二婚(眼角长痣) 在中国传统的面相学中,痣相被认为是影响一个人命运的重要因素之一。人体上的痣,根据其位置和颜色的不同,被赋予了各种各样的象征意义。在众多的痣相解读中,眼角长痣被认为可能预示着感情的波折甚至是婚姻的变故。 ... 世界百科08-19
-
有哪些面相特征的男人以后没前途了(塌鼻子) 塌鼻子、眼神游离、天仓凹陷等面相特征,往往暗示着一个男人可能面临事业发展的困境和前途的不确定性。在中国社会中,男主外女主内的思想根深蒂固。虽然随着社会进步,女性也取得了一定程度的独立和权利,但男性仍然 ... 世界百科08-19
-
什么面相特征的人没出息 (奸门长痣) 奸门长痣,作为面相学中的一种不吉利特征,常被认为是预示个人命运和性格走向的一种象征。这种面相特征往往暗示着个人在性格和事业上存在着一系列的不利因素,从而影响其未来的发展和成就。 1、拥有奸门长痣的人往往 ... 世界百科08-19
-
有什么面相特征的人容易得理不饶人(剑锋鼻) 容易得理不饶人的面相特征是剑锋鼻、人中短、颧骨高等。在面相学中,人的面相往往能反映出其性格和命运。1、剑锋鼻 在相学中,鼻子被认为是一个人性格、脾气和自尊心的象征。而其中一种特殊的面相特征被称为“剑锋鼻 ... 世界百科08-19
-
有什么面相特征的人处事极端(额头窄) 面相在中国文化中一直被视为一种能够揭示个人性格、命运的重要方式。其中,额头的形态被认为与个人的智慧、心智以及处事方式密切相关。在面相学中,额头窄被视为一种不吉利的特征,暗示着个人可能存在极端的处事方式 ... 世界百科08-19
-
男人长连心眉好不好(好) 在传统面相学中,连心眉被视为一种独特且具有深刻象征意义的面部特征。所谓的连心眉,指的是眉毛之间没有明显的间隔,形成一条连续的线条,有时甚至呈现出自然生长的细长弧线。这种特征在男性面相中被认为是一种积极 ... 世界百科08-19
相关文章
- 心术不正的人面相有什么特征(嘴歪)
- 啥面相的女人是贵妇命(田宅宫饱满开阔)
- 哪些面相特征的女人天生情命薄 (眉毛很粗)
- 哪些面相中年运势好(颧骨微凸)
- 中国有名的师范类大学排名前十 中国笨笨双一流师范大学(北京师范大学)
- 什么床最环保没甲醛
- 铺木地板下面垫的是什么材料
- 冰箱漏氟怎么办还有必要修吗
- 洗衣机洗一次衣服用多少水
- 燃气灶电池是几号用几节
- 双人被一般是多大尺寸
- 灯泡一闪一闪是什么原因
- 婚礼宴席多少钱一桌(婚礼宴席几个菜合适)
- 豹龟好养吗,幼豹切忌干养
- 大树的作用有哪些?
- 自来水一般几个压力(水压过低如何解决)
- 多用插座怎么接线方法呢
- 空调缺氟的影响,空调缺氟制热受影响吗
- 不锈钢碗可以放微波炉加热吗
- 锡纸碗可以放微波炉加热吗
热门阅读
-
最真实的女人私长处啥样图片,擦下口水禁止幻想 07-12
-
推荐十部经典一女多男肉文,腐女们最爱的小说 07-12
-
推荐10本高质量肉文,有肉有情节(真的很经典) 07-12
-
经典的纯肉文小说推荐,亲密接触也能如此妖娆 07-12
-
十本经典的兄妹肉文推荐,兄妹情有肉无虐点 07-12
-
揭秘ktv包房公主潜规则,她们也是有尊严的 07-12
-
10个老司机才懂的污段子,如若秒懂必定老司机无疑 07-12
